很多人前牙想變漂亮時會問:
「醫師,有些牙齒做貼片,有些做全瓷冠可以嗎?」
「這樣是不是比較省?」
但以美觀角度來說,
👉 貼片+全瓷冠混用,確實很容易造成前牙「看起來不一致」。
原因不是技術不好,
而是材料本質就不同。
⸻
❌ 為什麼材質不同會造成「不協調」?
前牙最重要的是:
✔ 色澤一致
✔ 透明度一致
✔ 光線反射一致
✔ 型態一致
但貼片與全瓷冠先天材質結構不同:
⸻
① 透光度不同
🔹 陶瓷貼片:超薄、透光高,會讓原本的牙色透出一些
🔹 全瓷冠:遮色能力強,不透光,需要完全包覆
👉 放在一起就會出現:
有些牙比較透明、有些比較霧、有些比較亮、有些比較暗。
微笑時會很明顯。


⸻
② 色層結構不同
貼片是「表層顏色+原牙底色」的混合呈現
全瓷冠是「整顆材質決定顏色」
👉 這等於一邊是“半透明玻璃+底色”,
另一邊是“全實心材質”。
兩邊完全不同的光學效果,很難做到「完全一致」。
⸻
③ 牙齦邊緣呈現不同
貼片薄,牙齦邊緣通常過渡自然
全瓷冠較厚,邊緣過渡方式不同
👉 很容易出現「某幾顆邊緣光影不一樣」。
⸻
❗ 所以做起來會發生什麼狀況?
即使是同一位技師、同一位醫師製作,
也很容易變成:
▪ 色澤不一致
▪ 左右門牙透明度不同
▪ 看起來像「兩種牙」拼起來
▪ 微笑時視覺落差明顯
▪ 假牙的痕跡更 obvious
尤其前牙是臉部視覺中心,
一點點差異都會被放大。
⸻
✋ 那什麼時候會看到混用貼片+全瓷冠?
通常是:
「想省錢」
「不想削太多牙」
「某幾顆做過根管不得不做冠」
但如果追求的是 前牙自然、美觀、協調、不突兀
那混搭治療通常不是最理想的做法。


⸻
✔ 我們真正追求的是「前牙一致性」
前牙好看最重要的是:
✨ 顏色一致
✨ 透明度一致
✨ 曲線一致
✨ 型態一致
只要材料不同,就必然存在光學差異,
這也是為什麼有些案例看起來「哪裡怪怪的」但又說不出來。
因為不是做壞,
是 本質上就不可能完全一樣。
⸻
⭐【總結:可以混用,但不代表會好看】
若你的需求是:
👉 想要 自然漂亮 的門牙
👉 笑起來 沒有破綻感
👉 看不出哪一顆是人工的
那「材質一致」永遠是最保險、最穩定、最不出錯的做法。
因為前牙美學追求的是——
整體協調,而不是各自做好看。
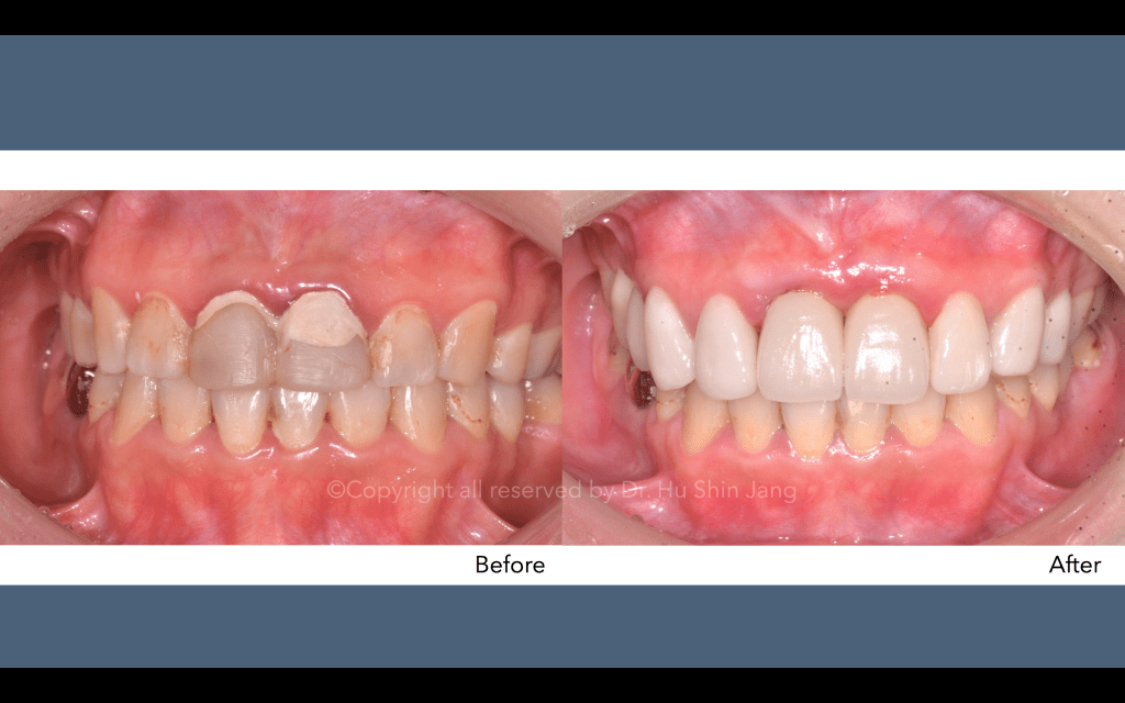
以下為本人曾經手過案例作為說明,期待前牙整體美學能美觀、自然、一致:




(本文出自/ 胡信彰醫師 撰)
©️All copyright reserved by Dr. Hu Shin Jang