前牙微笑曲線設計(Anterior Smile Curve Design)
是一種以「整體協調」為主的審美設計概念。
不是只看某一顆,而是看你的整個笑容是否自然。
設計時會評估:
✔ 門牙左右各3-5 顆的比例
✔ 左右對稱性
✔ 門牙長度
✔ 牙齦線條是否平衡
✔ 各牙齒的透明度、色階、層次感
✔ 笑起來時牙齒露出的弧線是否順暢
目標是讓你的微笑看起來:
👉 乾淨、自然、協調、適合你的臉型
這才是前牙美觀最重要的精隨。
⸻
🦷 【想改善門牙外觀,需注意哪些?有哪些治療方式?】
✅ 1. 顏色問題:全口亮度統一
如果假牙或真牙顏色差距大,需要先調整亮度一致,
門牙才不會看起來斷層或補丁感。

⸻
✅ 2. 形態與大小不一致
適合:
▪ 門牙不對稱
▪ 小缺角
▪ 牙齒過短
▪ 牙縫較小
可調整左右比例、形態與邊緣線條。

⸻
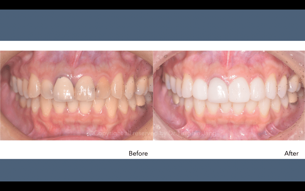
✅ 3. 單顆假牙突兀
若一顆假牙怎麼看都不自然,會依照:
✔ 色階層次
✔ 透光度
✔ 與鄰牙型態匹配度
客製化做出看起來「像自己的牙」。
必要時建議做「鄰近多顆的美學協調」,
才能達到整體自然的效果。

⸻
✅ 4. 微笑線不順:牙齒長度或牙齦美學調整
若你的門牙:
▪ 長短不一
▪ 高度不一
▪ 排列稍微錯位
▪ 牙齦線條不對稱
就會破壞前牙美觀的「微笑弧線」。
透過長度調整或牙齦微整形,就能大幅提升自然度。

⸻
🌟 【真正的前牙美觀不是「白很多」,而是「協調一致」】
許多人誤會:
「把門牙做白就會變漂亮」
但其實:
🚫 太白 vs 原生牙不一致 → 奇怪
🚫 單顆假牙與真牙不同透明度 → 很突兀
🚫 只有一顆形態不同 → 不協調
🚫 牙齦線亂 → 整體看起來不精緻
前牙美學的目標是:
👉 讓人看不出你有做過假牙,而是笑起來自然好看
這才是真正的美。
⸻
📝 【結語】
如果你覺得自己的門牙:
▪ 顏色不一
▪ 形態不協調
▪ 做了單顆假牙卻怪怪的
▪ 或想讓笑容更自然漂亮
那你需要的不是單純補或換一顆,
而是完整的 前牙微笑曲線設計,
讓整體比例、色澤、弧度都回到協調狀態。
只有「整體一致」
才能打造真正自然、細緻、耐看的前牙美觀。
治療方式相當多種樣式選擇,依照每個人的口腔狀況不同而有不同的選擇,如:全瓷冠、擬真牙冠(仿生牙冠)、人工植牙、美白貼片、冷光美白…等。以下為胡醫師曾經手案例,可作為治療前參考:










(本文出自/ 胡信彰醫師 撰)
©️All copyright reserved by Dr. Hu Shin Jang