想讓笑容更明亮,牙齒美白是許多人第一個想到的方式,但你知道美白並不是人人都能做、也不是每一種方法都適合你嗎?
以下用最清楚、最完整的方式告訴你:
✔ 誰適合美白?
✔ 美白有哪幾種?
✔ 優缺點與限制一次比較!
⸻
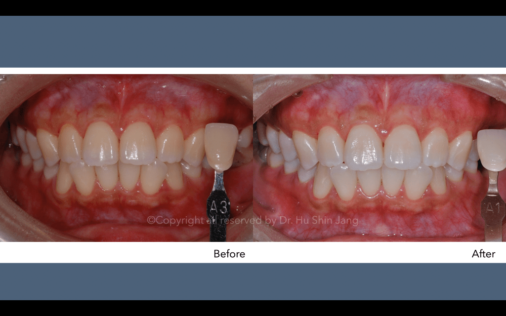
牙齒美白的方式有分兩種
一種是藥劑式牙齒美白屬於非永久性美白方式,如:冷光美白、居家美白、美白筆,齒內美白
一種是非藥劑式牙齒美白,屬於永久性美白方式,如:全瓷牙冠、美白貼片


🔍 一、哪些人「適合」做「藥劑式」牙齒美白?
✔ 適合的狀況
• 天生牙齒顏色偏黃、偏暗沉者
• 長期喝咖啡、茶、紅酒造成的染色
• 牙齒沒有太多修補物(樹脂補牙、假牙)
• 沒有嚴重牙周病、蛀牙或牙齦萎縮
• 想在貼片、假牙前先提升基底顏色的人
❌不適合做「藥劑式」美白的狀況
這些狀況美白效果不佳,甚至不能做:
• 假牙、貼片、牙橋不會跟著一起變白
• 嚴重四環黴素牙(一般美白效果有限,需貼片或全瓷冠)
• 牙齦敏感、牙根暴露(美白劑會讓你痛爆)
• 牙齒破損、蛀牙未處理(先修復再美白)
• 孕婦或哺乳中(不建議使用含過氧化物美白劑)
⸻
✨ 二、四大類「藥劑式」牙齒美白方式總比較
以下是最常見的美白方法,醫師幫你整理得明明白白。
⸻
① 冷光美白(診所內)
📌 效果:★★★~★★★★(最明顯)
📌 時間:1 次約 1 小時
📌 適合想快速變白的人
優點:
• 效果比居家美白快、明顯
• 專業操作,安全性較高
• 適合有急迫需求(婚禮、面試等)
缺點:
• 費用較高
• 一次不會永久,需要維持
• 有些人會有牙齒敏感現象


⸻
② 居家美白(客製美白牙托)
📌 效果:★★★(穩定且自然)
📌 時間:每天睡覺配戴 ,連續 1~2 週
📌 適合慢慢變白的人
優點:
• 牙齒自然變白、不死白
• 維持期長、較冷光美白刺激性較低
• 可以按自己的時間做
• 亦適合冷光後的維持使用
缺點:
• 需要連續配戴、需要自律




⸻
③ 市售美白貼片、牙膏、美白筆
📌 效果:★~★★(最弱)
📌 時間:依品牌不同
優點:
• 價格便宜
• 使用方便
缺點:
• 效果有限
• 容易因操作不當造成牙齦刺激
• 無法客製化
• 牙齒顏色較深的人效果通常微弱
建議:視為商品,不算治療。
⸻
④ 內漂白(已做根管治療的單一死髓牙)
📌 效果:★★★(針對特定單顆牙)
📌 適合:某顆因撞擊或死髓而變黑的牙齒
優點:
• 不需磨牙,不用貼片
• 能讓變黑的牙齒恢復自然色
缺點:
• 只能用在做過根管治療的牙齒
• 若變色太嚴重,可能仍需貼片或全瓷冠

⸻
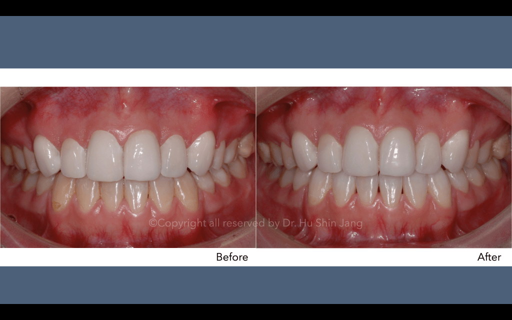
🎯 四、什麼狀況需要「非藥劑式」牙齒美白:貼片或牙冠?
美白只能針對「天然牙」。
如果你有以下狀況,做美白也不會白:
• 門牙補過樹脂,補牙顏色已不符
• 有做過部分貼片、部分全瓷冠(材質不同會呈現色差)
• 天生牙縫大、牙齒形態不好看
• 四環黴素染色很深
• 牙齒排列問題造成陰影
👉 此時醫師會建議以「前牙美學設計」處理
例如:
• 全瓷冠
• 全瓷貼片
• 前牙微笑曲線設計
• 色階一致的全口設計
這類比美白更能改善「一致性、美感與明亮度」。
⸻
🦷 五、醫師溫馨提醒
• 美白不是追求「死白」,而是適合你的自然亮度
• 顏色再亮也不等於美,要搭配形態、比例與牙齦線
• 美白後要避免染色食物(咖啡、茶、紅酒)48 小時
• 想要「一致美」,請務必先讓醫師評估牙齒材質、顏色差異與排列
⸻
📌 如果你想要真正拍照笑起來好看,不只是白,還包括:
• 顏色一致
• 形態對稱
• 牙齦線平整
• 微笑曲線自然
• 不會一顆白、一顆暗、一顆透明、一顆像假牙
👉 美白只是其中一步,而不是全部。




(本文出自/ 胡信彰醫師 撰)
©️All copyright reserved by Dr. Hu Shin Jang