門診因下頷後牙缺牙而求診的民眾,牙醫師往往會依照當下的狀況而有了各自的判斷,其中不外乎常給的建議有:
- 傳統牙橋
- 人工植牙
- 活動假牙

本篇將以人工植牙術前評估的重點進行摘要式解說
- 上下牙齒的咬合空間、咬合曲線
- 齒槽骨的寬度
- 齒槽骨離下頷神經的垂直距離
- 角化牙齦的寬度
- 拔牙的時間點
- 患者身體健康狀況、年紀、飲食習慣、磨牙情形…
- 全口牙周健康狀況。
- 缺牙區鄰近牙齒狀況,是否有齲齒、根尖囊腫、牙周病、傾倒…?以及牙齒臨床牙冠高度。
- 缺牙區的長度,是否需要合併智齒作為傳統牙橋支台齒之使用?
- 病患是否有咬合垂直高度的喪失?
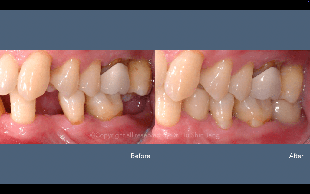
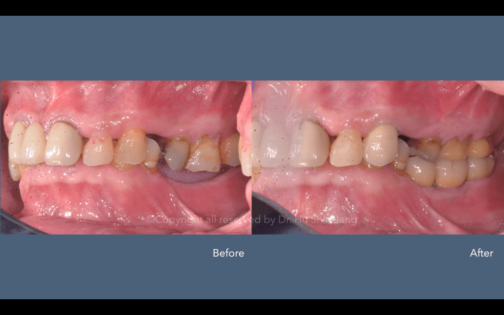
- 牙齒重建後與鄰牙的contact area的面積,面積越大可以減少咀嚼後食物塞入牙縫的情形,但不能完全去除此可能。
- 後續病患清潔是否容易達成?
- 後續產生問題時的處理方式為何?
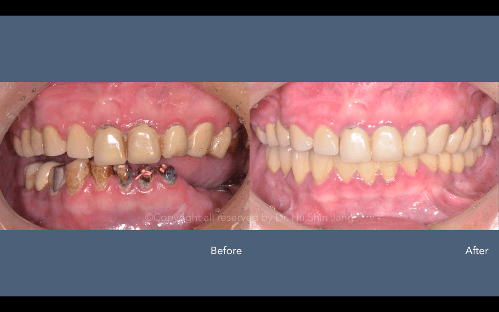
在這些重建缺牙的選項當中,『人工植牙』可以不用像過去傳統牙橋破壞好的牙齒來恢復缺牙、也不會像活動假牙使用上不舒適,但『人工植牙』需等待骨整合達4-6個月後,始能進行假牙裝戴,其缺點就是等待期較長。
以下爲本人完成下頜後牙缺牙區,各式人工植牙恢復之案例示範:











正常齒列我們擁有『2個小臼齒』『2個大臼齒』,小臼齒和大臼齒功能卻不同。
小臼齒主要是傳導食物,大臼齒是研磨食物,因此先天上牙齒的牙根型態大臼齒是多牙根,而小臼齒是單牙根。大臼齒要承受較高的咬合力量。因此,理想上建議應恢復兩個大臼齒,讓咬合力量平均分布,若只存在一個大臼齒進行咀嚼,自然牙或是植牙發生斷裂的機會相對較高。

下頷植牙在術前運用3D電腦斷層進行下頷神經位置的掌握,在植牙的治療引導原則,量測後的距離要減去2mm則成為植牙長度的限制,避免因為植牙誤傷神經而導致後續倂發症產生,尤其是對於後牙在即拔即植的術式一定要特別注意此原則!

角化牙齦(attached gingiva)的寬度不足,對於齒槽骨重建上,對於『癒合』有相對影響。足夠的角化牙齦寬度可減少傷口在術後裂開,而造成重建效果差抑或失敗。理想角化牙齦寬度應至少在缺牙區> 5mm以上,植牙牙冠在裝戴後周圍有>2mm以上的角化牙齦寬度,有益於清潔、減少刷牙時疼痛的可能、部分學者亦合理推測角化牙齦有防止細菌侵入,降低植體周圍炎的發生率。


缺牙久了,咬合空間的變化,亦是事前評估的重點。如何恢復一正常的咬合曲線,有幾種方法各有利弊,在此篇暫不贅述。


以下為理想的咬合曲線

咬合連帶會影響顳顎關節,不可不慎!

本篇文章僅作為衛教及教學使用,以上實際案例植牙手術及假牙裝戴均由本人完成,每個人狀況不同因此治療結果亦不相同,每位牙醫師專業程度、看法亦不相同,請於治療前與您的牙醫師進行良好的溝通評估,並願每個人恢復自信與健康!
牙醫師 胡信彰