一種米養百種人,牙醫師應傾聽每個病人的想法及需求,並盡力解釋各式治療選擇的利與弊,最後尊重病患自主選擇治療的權利,遇到自己不擅長或是沒把握的治療時就該積極轉診至該領域的專家,20幾年來我都是秉持如此信念盡力幫助求診的民眾。

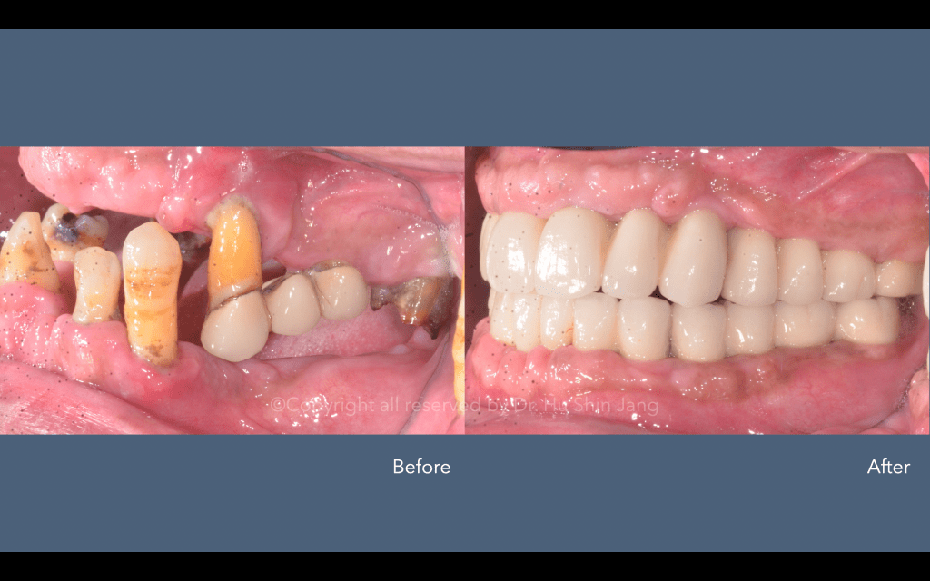
上頜後牙缺牙,依照每個人的狀況不同,而可能有的治療選擇如下:
- 人工植牙
- 傳統固定牙橋
- 活動假牙
此外,牙醫師亦須同時衡量以下狀況:
- 患者身體健康狀況、年紀、飲食習慣、磨牙情形…
- 全口牙周健康狀況。
- 牙齒上下咬合狀況。
- 缺牙區鄰近牙齒狀況,是否有齲齒、根尖囊腫、牙周病、傾倒…?以及牙齒臨床牙冠高度。
- 缺牙區的長度,是否需要合併智齒作為傳統牙橋支台齒之使用?
- 缺牙區齒槽骨水平方向的吸收量
- 缺牙區齒槽骨距離上頜鼻竇的垂直高度是否大於4mm以上?
- 慢性鼻竇炎、鼻息肉、齒源性鼻竇炎感染或是異常鼻竇膜增生(increased sinus mucosal thickness),透過3D電腦斷層可獲得術前風險評估診斷,必要時轉診至耳鼻喉科進行進一步確認與診治。
- 病患是否有咬合垂直高度的喪失?
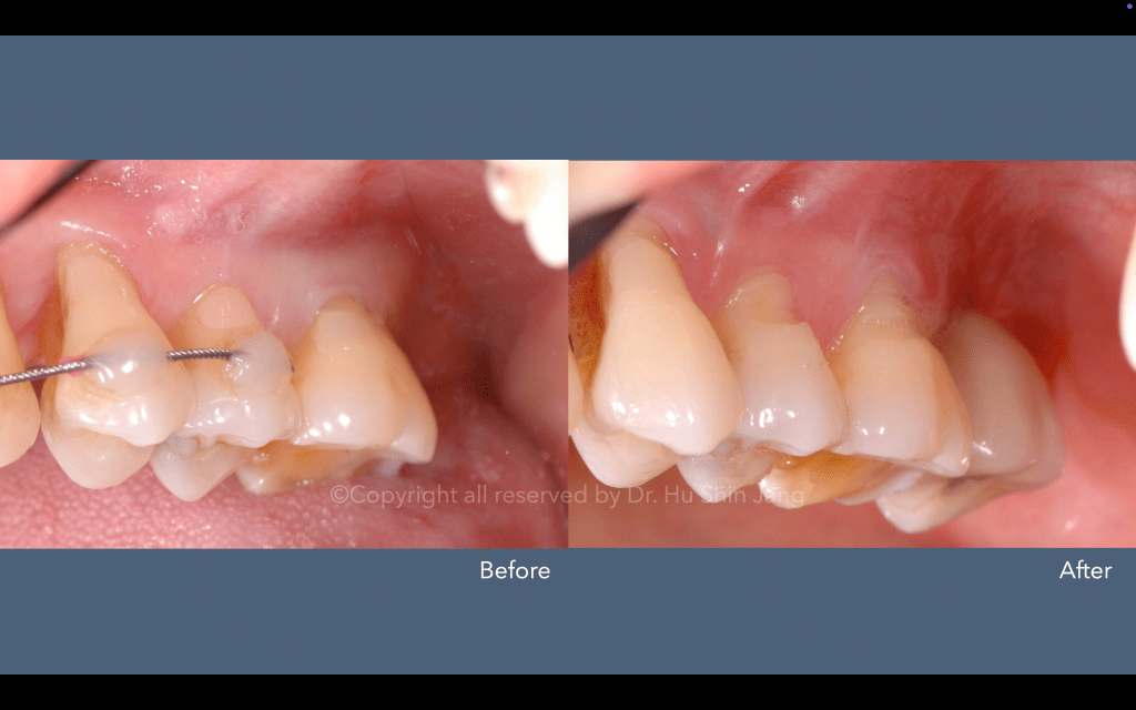
- 牙齒重建後與鄰牙的contact area的面積,面積越大可以減少咀嚼後食物塞入牙縫的情形,但不能完全去除此可能。
- 後續病患清潔是否容易達成?
- 後續產生問題時的處理方式為何?
在這些選項當中,『人工植牙』可以不用像過去傳統牙橋破壞好的牙齒來恢復缺牙、也不會像活動假牙使用上不舒適,但『人工植牙』需等待骨整合達4-6個月後,始能進行假牙裝戴,其缺點就是等待期較長。
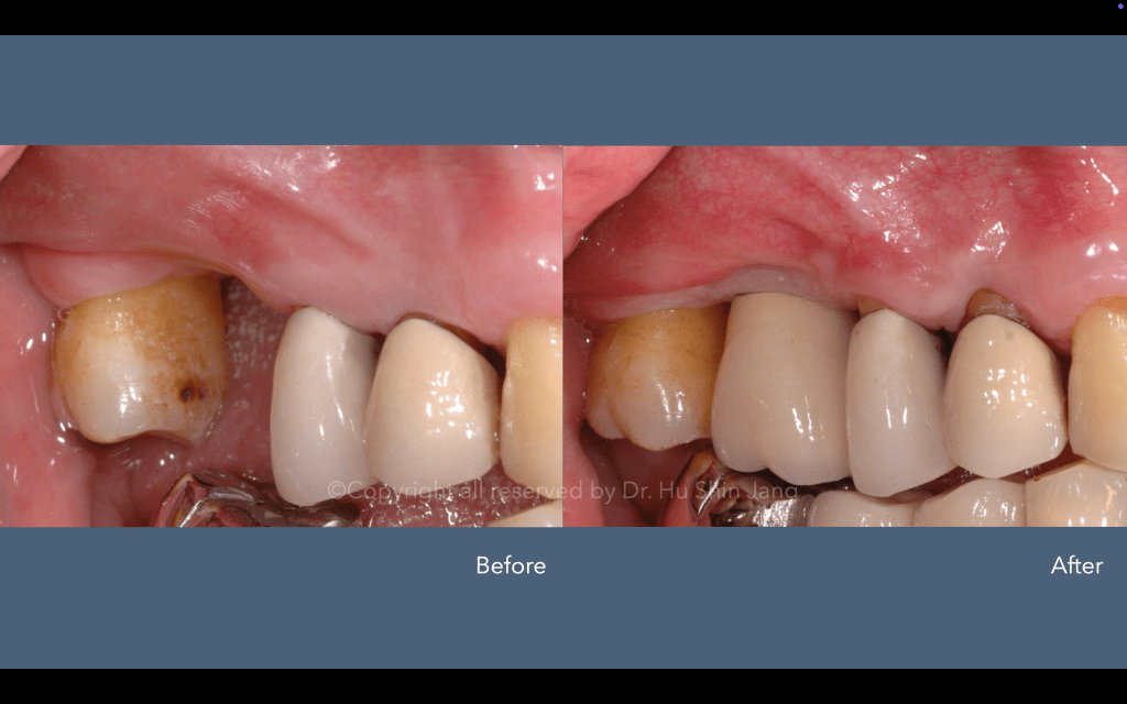
以下爲本人完成上頜後牙缺牙區,人工植牙恢復之案例示範:










上頜後牙區相關構造,植牙術前考量如下:

齒槽骨垂直高度不足5 mm,依照原則以鼻竇開窗補骨手術(lateral window approach),作為植體齒槽骨地基重建之標準。

齒槽骨垂直高度大於5 mm,依照原則可以頂骨方式(osteotome),作爲短植體齒槽骨地基垂直增加之方式。

鼻竇是否有異常?可藉由3D電腦斷層術前評估判斷,以減少後續可能之併發症產生。

條件最差齒槽骨如下面例子,只有1mm厚度能植牙嗎?
建議:先進行齒槽骨重建完成後,再進行人工植牙,才能確保植牙安全及質量上良好的結果!




本篇文章僅作為衛教及教學使用,以上實際案例植牙手術及假牙裝戴均由本人完成,每個人狀況不同因此治療結果亦不相同,每位牙醫師專業程度、看法亦不相同,請於治療前與您的牙醫師進行良好的溝通評估,並願每個人恢復自信與健康!
牙醫師 胡信彰