
假牙內部有蛀牙、異味、長塞食物或是有動搖,甚至假牙常掉落而一直至診所黏……這些問題困擾著您,建議治療步驟如下:
- 拍攝X光片確認牙根狀況
- 檢視口內咬合情況,是否有咬合異常
- 牙周健康情形評估
- 確認後續醫療費用是否能接受
- 印製模型,先行製作臨時假牙,約定下次拆除假牙時間
- 療程開始,拆除臨時假牙,清除蛀牙後確認剩餘健康齒質條件,高度需至少超過1.5mm以保有獲得ferrule effect,牙根厚度比例需至少>1/3以避免牙根提早受力後斷裂。並於當次裝戴上臨時假牙恢復門面。
- 衡量『牙冠增長術』的適用條件後仍無法積極保留者,始建議以植牙恢復原有牙齒。



在前牙植牙上,醫師需謹慎評估以下幾點:
- 牙周疾病是否控制得宜
- 軟組織的biotype
- 相鄰牙齒是否有根尖囊腫會影響
- 量測牙冠邊緣至植體的距離至少要保留3mm, 以達到後續emergence profile。
- 牙冠的形式建議以screw type為主,以降低後續維修時的困難!
- screw type在頰側齒槽骨的厚度至少要達到2mm以上的厚度。
- 根尖處因容易由於齒槽骨形態,而導致植體於根尖處破孔,甚至是斷裂,自體骨移植合併異體骨配合可吸收膠原蛋白再生膜使用,可有效恢復齒槽骨包覆植體的質量。
- 牙周病嚴重情況下拔除,後續牙齒型態較難與一般健康型態一致。
- 軟組織移植、以及pink porcelain在對於牙齦萎縮美觀上的選擇,需考量患者是否有gummy smile,以避免看起來不自然。
- 即拔即植術式需謹慎,進行screw type時需於過程漸進式轉角度,而並非只是單純將植體置放入窩洞內,執行醫師需要有足夠知識及經驗。
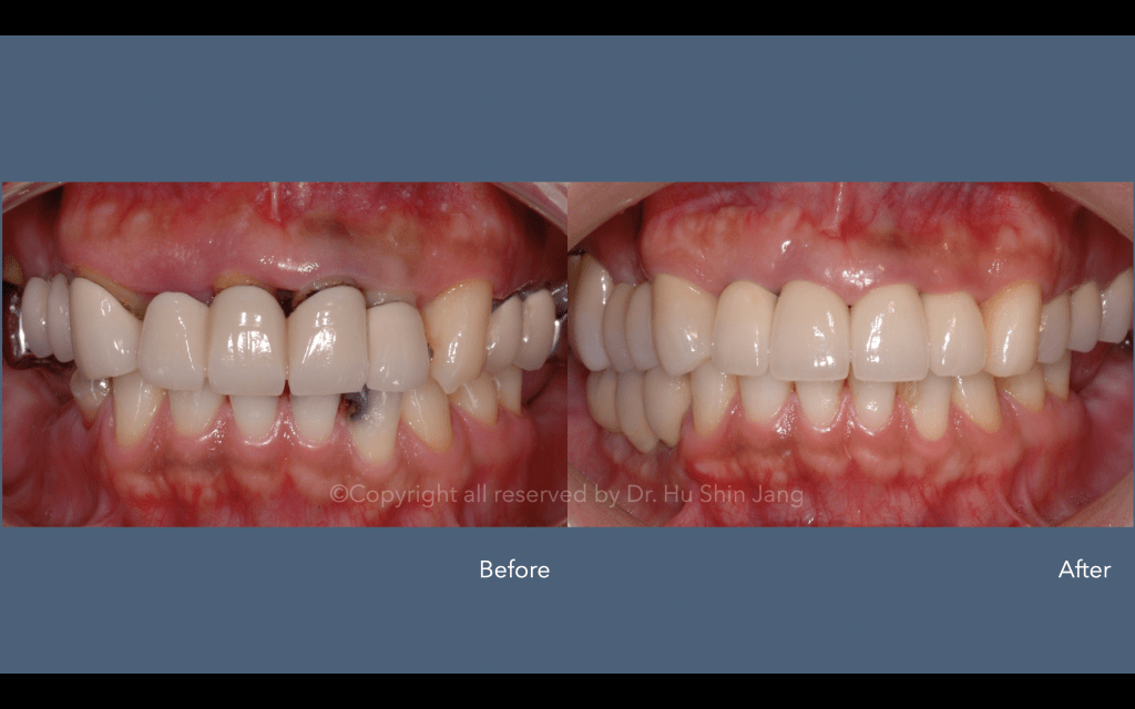
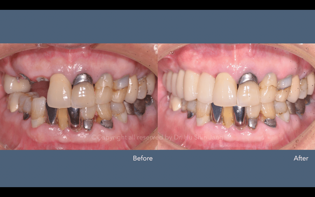
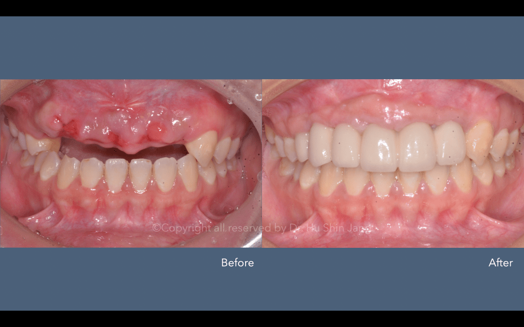
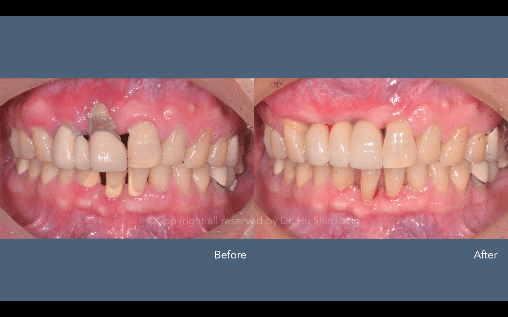
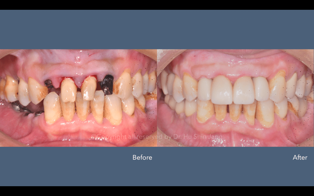
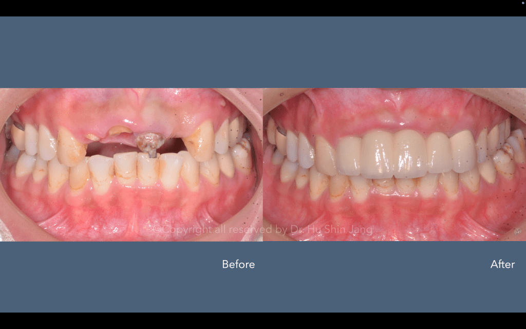
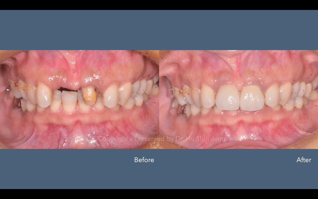
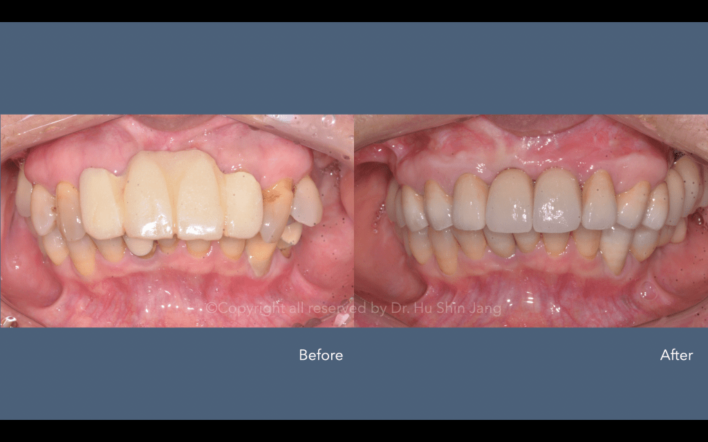
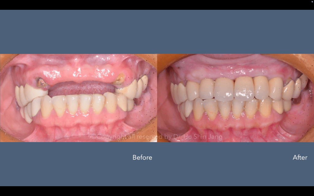
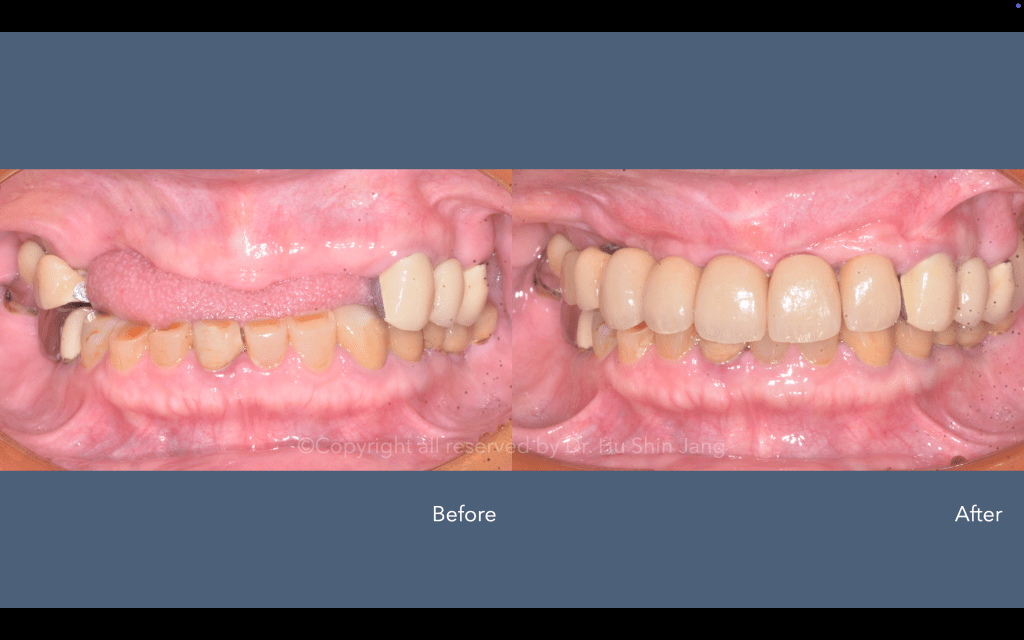
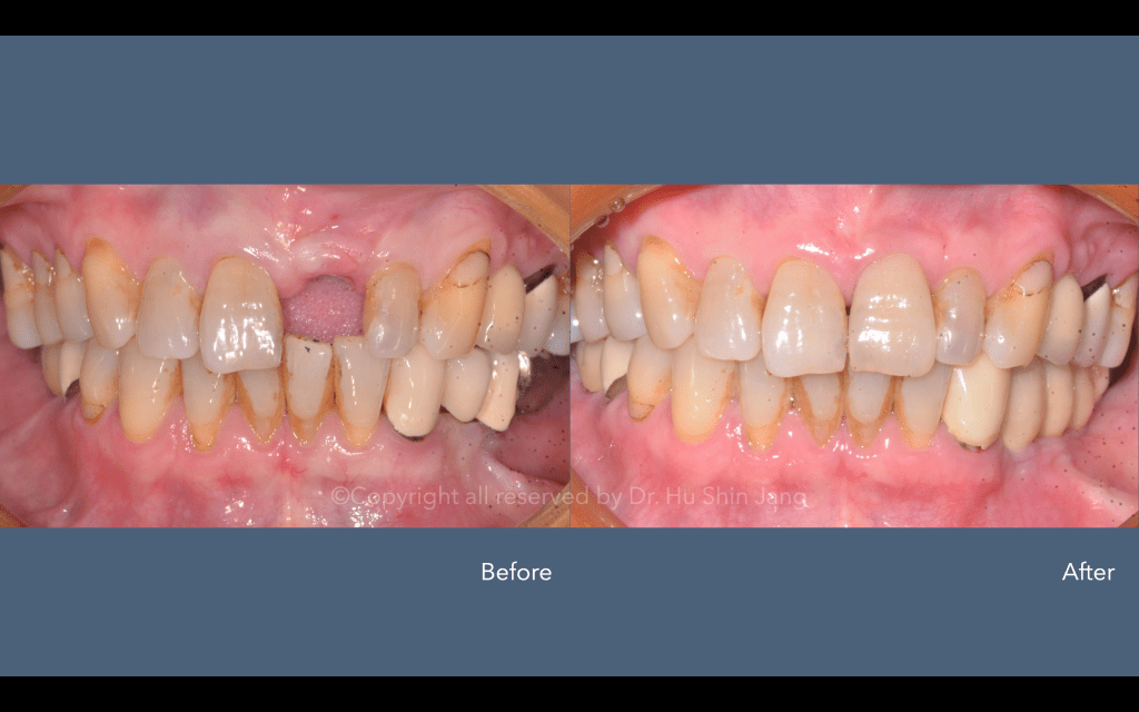
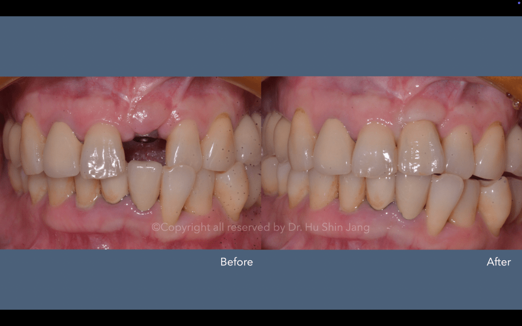
前牙植牙每個人的情形均不太相同,本人以下列治療案例作為示範:














本篇文章僅作為衛教及教學使用,以上實際案例植牙手術及假牙裝戴均由本人完成,每個人狀況不同因此治療結果亦不相同,每位牙醫師專業程度、看法亦不相同,請於治療前與您的牙醫師進行良好的溝通評估,並願每個人恢復自信與健康!
牙醫師 胡信彰