臨床上每個人牙齒的問題求診原因都不一樣,有的人只是蛀牙…有的人牙齒斷掉….有的人假牙掉下來…..有的人有牙周病….甚至有的人遭逢意外牙齒斷裂……作為牙醫師,必須要憑藉專業知識來給予患者適當治療建議,並應以保留治療牙齒為主要原則,那哪種狀況是無法保留的呢?以下為常見拔牙適應症:
- 牙根斷裂(裂齒症)
- 牙冠斷裂或蛀牙,且無法以『牙冠增長術』予以治療者
- 根尖囊腫無法治療
- 嚴重型蛀牙
- 重度或末期牙周病,在牙周病預後屬於『hopeless』,或是在牙周病治療之後仍無法有效控制發炎、牙齒搖動無法咀嚼
牙根斷裂(裂齒症)症狀:咬的時候會疼痛,不咬的時候不會。但症狀久導致齒槽骨流失後咀嚼疼痛的感受性會下降,臨床上以理學診斷,X光片部分情況可以確定,但部分是不行。


牙冠斷裂僅剩牙根,或是嚴重蛀牙,無法予以『牙冠增長術』治療恢復的情況,始予以建議拔牙。


臨床診斷評估後『符合』牙冠增長術執行條件,前牙區予以『牙冠增長術』進行治療示範案例如下


為什麼我們需要進行牙冠增長術呢?主要是要符合假牙在製作時的先決條件,臨床牙冠至少要有1.5mm以上的健康齒質作為牙釘固定的支撐,即達到『ferrule effect(環固效應)』,最後假牙在固定時會包覆『牙釘+健康齒質』,而非僅僅是單純用黏著劑將牙釘黏在根管內再套上假牙如此簡單便宜行事!術前考量均屬專業範疇,在此篇不一一細述。

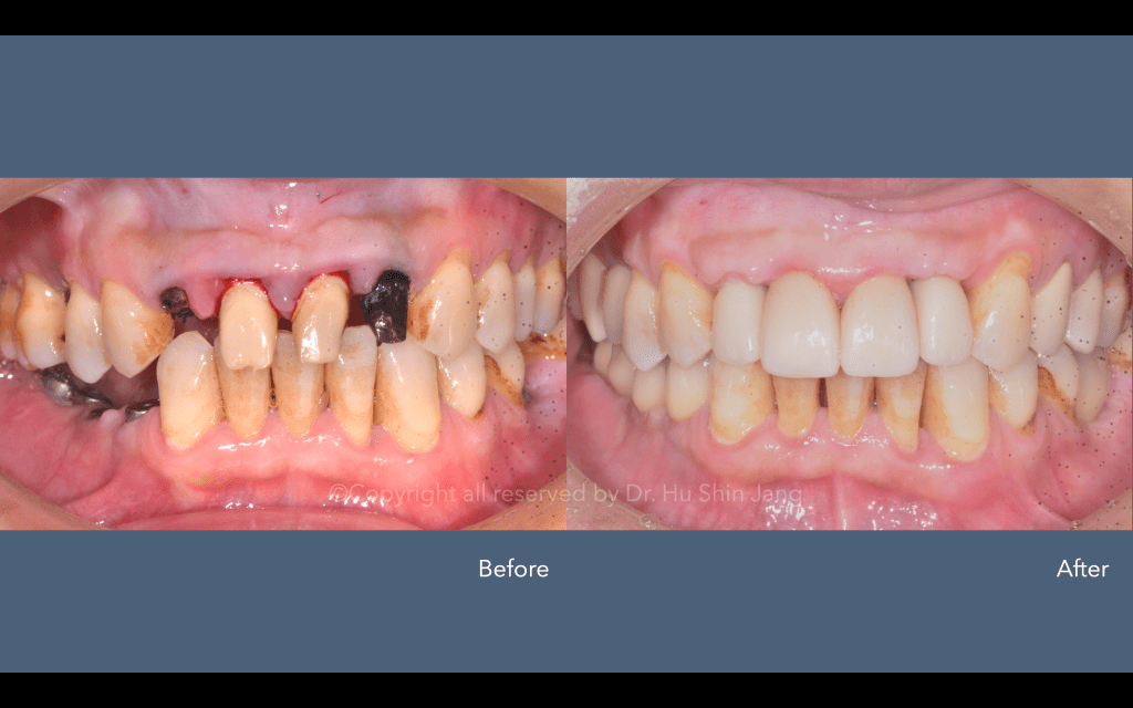
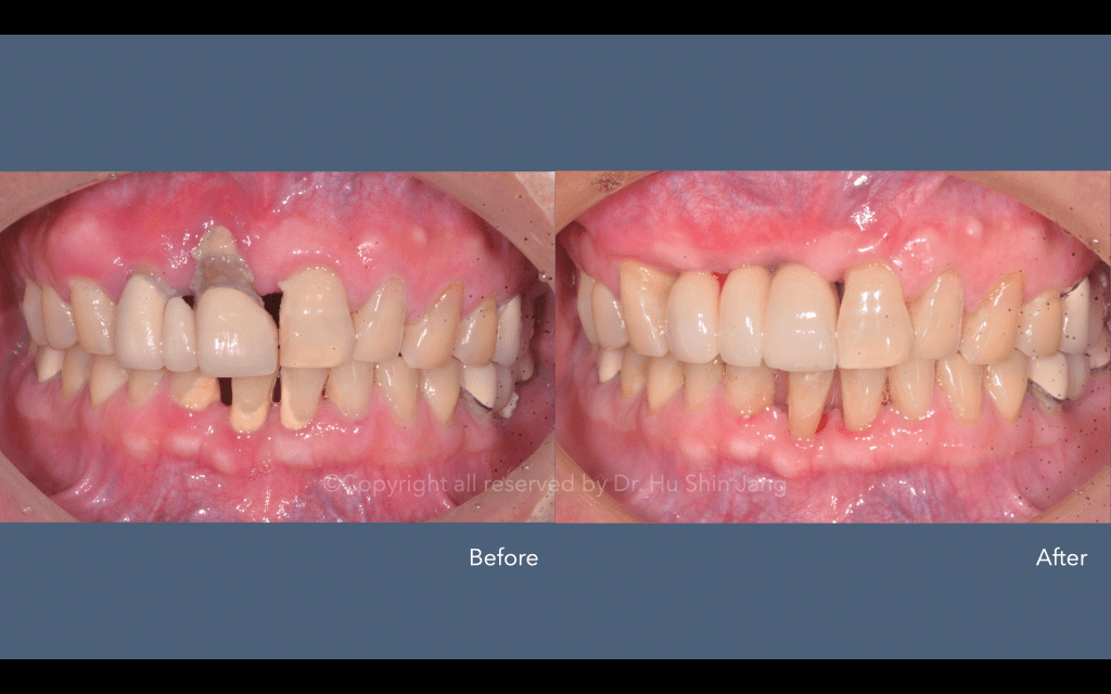
臨床診斷評估後『不符合』牙冠增長術執行條件,前牙區不適用『牙冠增長術』,而予以『人工植牙』進行治療示範案例如下


臨床診斷評估後『不符合』牙冠增長術執行條件,前牙區不適用『牙冠增長術』,而予以『傳統牙橋』進行治療示範案例如下

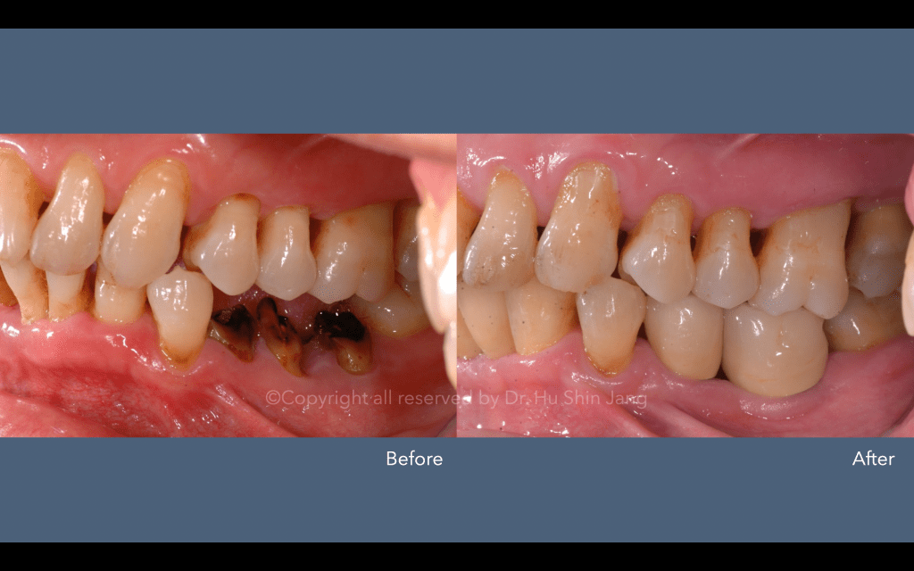
根尖囊腫嚴重,而無法治療者,以下圖示範案例說明,拔除後予以『人工植牙』合併其他術式:


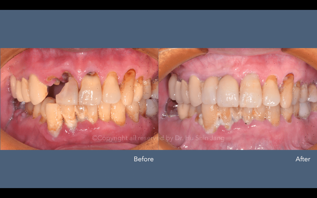
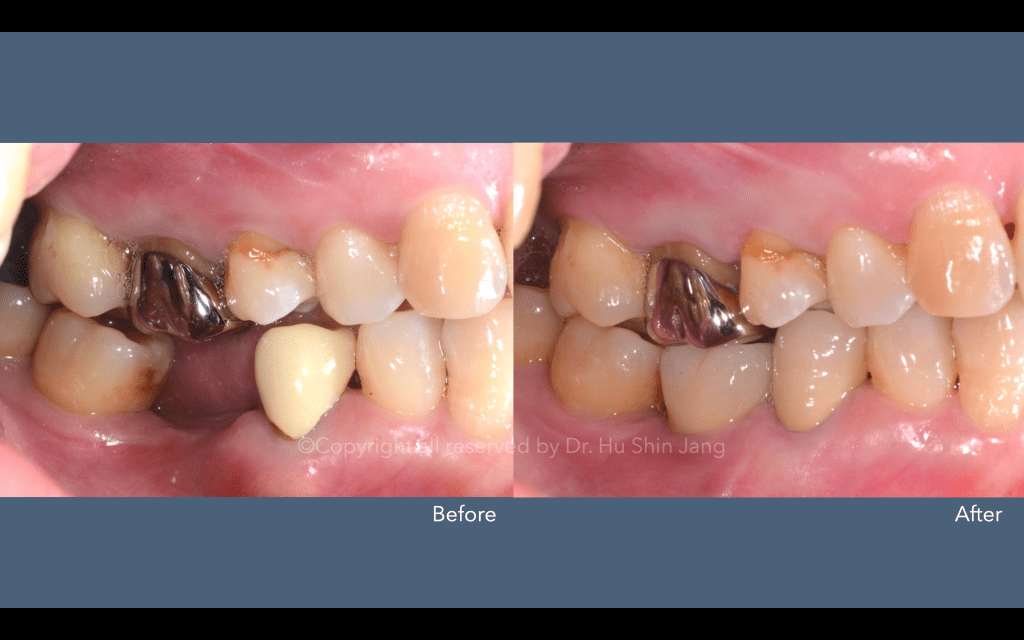
嚴重型蛀牙無法保留,而予以『人工植牙』進行治療示範案例如下


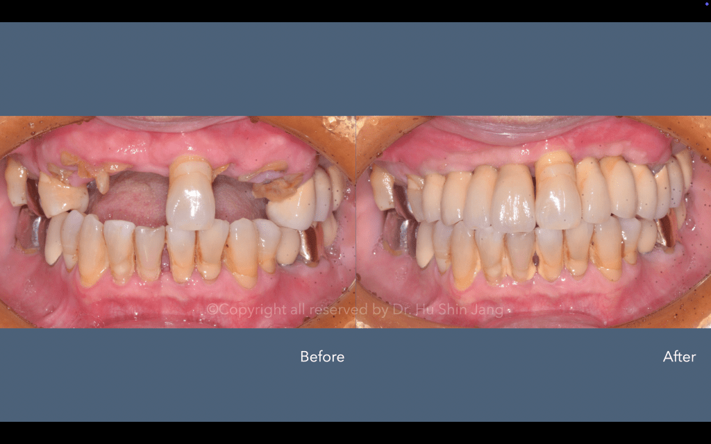
嚴重型牙周病無法治療,或治療後無法改善症狀,而建議拔除後予以『人工植牙』進行治療示範案例如下

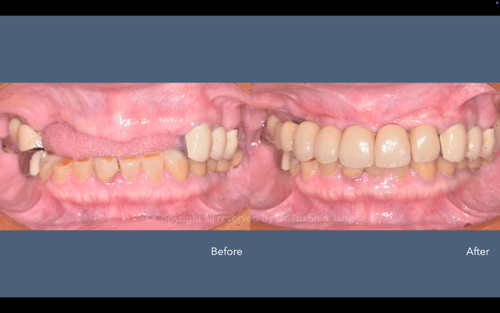
最後,當患者至診所,已經是呈現『完全缺牙狀態』,或是已經拔除一段時間之後,這時候『人工植牙』通常是恢復缺牙的首選治療方式。治療案例示範說明如下





『人工植牙』的優點:
- 重建缺牙區,恢復正常咀嚼功能
- 不像『傳統牙橋』需要破壞好的牙齒
- 後牙去缺牙時可以增加支撐,減少前牙咬合負擔
- 舒適度高,如同一般正常牙齒一般自然
- 不會蛀牙

『人工植牙』的缺點:
- 等待時間長,需要手術
- 需定期檢查及維修,未配合正確使用或清潔植牙時,植體壽命會降低,嚴重時需移除重新更換植體!
本篇文章僅作為衛教及教學使用,以上實際案例植牙手術及假牙裝戴均由本人完成,每個人狀況不同因此治療結果亦不相同,每位牙醫師專業程度、看法亦不相同,請於治療前與您的牙醫師進行良好的溝通評估,並願每個人恢復自信與健康!
牙醫師 胡信彰