⭐前牙牙齦不足時,為什麼要使用粉紅色假牙牙齦?
— 幫你恢復自然微笑線的關鍵設計!
很多人在前牙植牙或假牙治療時會發現:
醫師有時會建議「粉紅色牙齦」的設計。
不少人第一反應是:「為什麼不是做成我自己的牙齦?難道不能長回來嗎?」
其實——
粉紅色牙齦是為了讓笑起來更自然、美觀,也更安全。
⸻
🦷 一、為什麼前牙區特別容易出現『牙齦不足』?
前牙的齒槽骨比後牙更薄,
以下情況更容易造成骨頭與牙齦大量流失:
🔸 拔牙太晚、感染久
🔸 牙周病已破壞骨頭
🔸 曾經做過根尖手術或根管失敗
🔸 外傷撞擊造成骨缺損
🔸 長期缺牙沒處理
🔸 術後抽煙或容易造成傷口癒合困難之疾病,如:糖尿病…。
當骨頭流失,牙齦也會自然跟著塌陷,
造成所謂的 「牙齦黑洞」、「牙肉不見了」、「牙冠變超長」 的情況。
⸻
🎨 二、牙齦萎縮太嚴重時,為什麼不能只靠手術把牙齦補回來?
很多人以為補骨、補牙肉就能完全恢復原貌,但現實是:
✔ 骨缺損太大 → 補再多不一定能恢復到原始形態
✔ 牙齦高度有限 → 移植也有物理限制
✔ 前牙美學區 → 即使成功,也未必對稱自然
醫療技術能改善,但無法無限重建。
因此在某些情況下,若硬要全部靠手術達到美觀,
反而風險高、恢復不佳、結果不穩定。
術前評估如有抽煙之習慣,對於牙齦移植這方面的治療視為禁忌症。
⸻
🌸 三、這時粉紅色牙齦(Pink Porcelain/ Pink Composite)就派上用場!
粉紅色牙齦的設計能做到:
1️⃣ 填補因萎縮造成的凹陷
讓「牙齒與牙齦的交界」看起來平順自然。
2️⃣ 遮蓋黑三角、牙縫過大
讓牙齒整排看起來更整齊,笑起來不漏縫。
3️⃣ 讓牙冠不會被做得過長、怪怪的
若牙齦消失,牙冠不得不拉長,
看起來像「馬牙」一樣不自然。
粉紅色牙齦能避免這個問題。
4️⃣ 達到更好的美學比例
前牙美觀區最重要的就是「牙齒+牙齦的整體和諧」,
粉紅色設計能讓整體比例回到最自然的狀態。
⸻
🖼️ 四、什麼狀況需要粉紅色牙齦?
以下情況常常會建議:
✔ 嚴重牙周病造成的牙齦萎縮
✔ 拔牙後骨頭嚴重凹陷
✔ 前牙長期缺牙,骨頭高度不夠
✔ 前牙植牙後因骨厚度不足而產生黑齦
✔ 牙齦形狀不對稱,手術難以完全重建
這些案例若強求「完全重建原本牙齦」,
往往風險高又不自然,
粉紅色牙齦反而是一個安全又美觀的解決方式。
⸻
❤️ 五、粉紅色牙齦的最大優點:安全、美觀、穩定
✔ 不需要冒高風險大手術
✔ 結果可預測、穩定
✔ 美觀提升效果明顯
✔ 不會傷害植牙或牙齒
✔ 笑起來自然,不會「牙齒太長」
對於牙齦流失嚴重的患者,
粉紅色牙齦常常是「安全接近自然的選擇」。
注意⚠️粉紅色牙齦不會與自身牙齦的顏色一致⚠️
⸻
📌 結語
粉紅色牙齦是讓你笑起來更自然的「美學設計」。
如果你有牙齦萎縮、黑三角、或前牙美觀問題,
歡迎讓專業牙醫師評估適合你的方式。
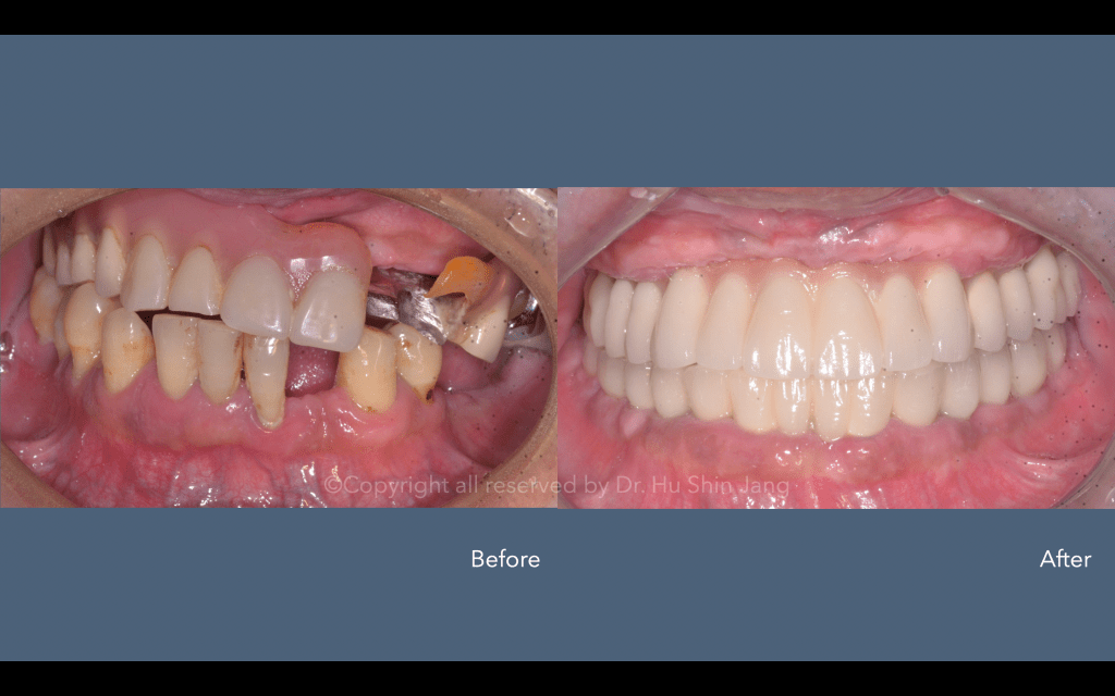
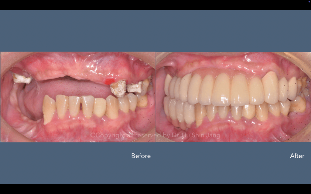
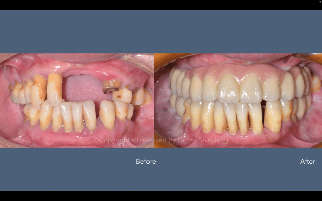
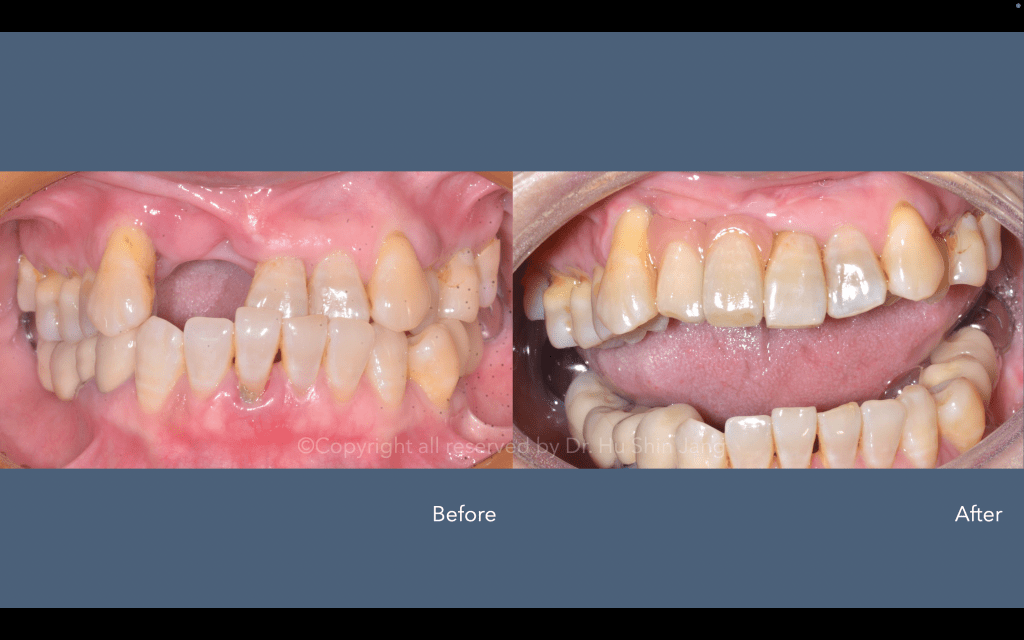
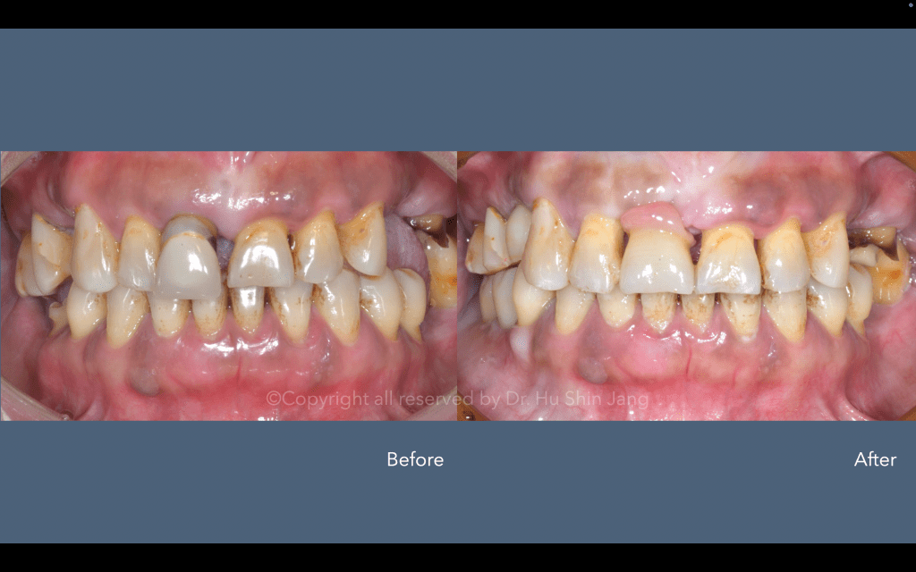
以下為本人經手過的案例,可作為pink porcelain在應用於前牙區時的參考結果:







(本文出自/ 胡信彰醫師 撰)
©️All copyright reserved by Dr. Hu Shin Jang