⭐有磨牙為什麼一定要配戴咬合板?
— 你看不到的夜間危機,其實比你想像的大!

很多人睡覺時會磨牙,但自己完全不知道。
等到發現牙齒敏感、裂掉、植牙鬆掉,
才知道「夜間磨牙」是口腔裡最沉默、最傷害性的壞習慣之一。
而咬合板,就是保護牙齒、關節與植牙最有效的工具。
⸻
🦷 一、夜間磨牙的力量比白天大 3~5 倍!
睡眠中牙齒緊咬時,力量可能超過 70–100 公斤。
這種力量遠比吃東西還大,卻完全無法控制。
也就是說——
你越不知道自己在磨牙,造成的破壞往往越嚴重。

⸻
⚠️ 二、如果你有磨牙不戴咬合板,會發生什麼?
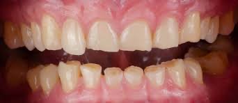
1️⃣ 牙齒會越磨越薄,變敏感、變脆
長期磨牙會讓牙齒磨耗、變平,
甚至刷牙都會覺得酸、痛。

⸻
2️⃣ 牙齒可能裂掉(最常見的急診原因之一)
包括:
• 裂痕延伸
• 裂到牙髓
• 裂到牙根
嚴重時可能只能拔除。





⸻
3️⃣ 植牙最怕的就是「過度咬力」
磨牙者的植牙承受壓力比一般人高很多:
• 螺絲鬆動
• 假牙破裂
• 植體周圍炎惡化
• 甚至植體本體鬆脫
都是臨床上很常見的問題。


戴咬合板能把過度咬力平均分散,大幅延長植牙使用年限。

⸻
4️⃣ 臼齒會越磨越矮,導致咬合面改變
咬合一改變,後續可能引發:
• 牙齒卡到
• 咬不準
• 假牙或植牙承受不平均力量
• 下顎關節疼痛
這些都是磨牙患者最常抱怨的問題。

⸻
5️⃣ 顳顎關節(TMJ)越來越緊繃、疼痛
磨牙會讓關節過度負荷,導致:
• 張口疼痛
• 卡卡聲
• 頭痛、臉部肌肉緊繃
咬合板能讓關節休息,減少夜間壓力。

⸻
🛡️ 三、咬合板可以幫你做到什麼?
✔ 保護牙齒不被磨壞
✔ 分散過度咬力,保護植牙與假牙
✔ 讓顳顎關節休息、減少疼痛
✔ 降低牙齒裂掉的風險
✔ 穩定原本的咬合關係,不會越來越亂
簡單來說:
咬合板不是治好磨牙,而是保護你免於磨牙造成的傷害。

⸻
⏰ 四、誰最需要配戴咬合板?
🔸 夜間磨牙或白天緊咬者
🔸 做過植牙、全瓷假牙、牙橋者
🔸 牙齒已經有磨耗、崩角、裂痕
🔸 有顳顎關節不適(痛、卡、緊)
🔸 壓力大、睡眠不安穩者
這些族群配戴咬合板的效果最明顯。
⸻
❤️ 結論:
咬合板不是「可有可無」
而是磨牙者最重要的口腔保護裝置
只要晚上乖乖戴,
能減少非常多不必要的牙齒損害、昂貴治療與後續問題。
(本文出自/ 胡信彰醫師 撰)
©️All copyright reserved by Dr. Hu Shin Jang