在臨床上,這幾乎是每天都會聽到的問題。
不論是多顆缺牙、全口重建、或是需要做植牙牙橋的患者,
大家都會問:
👉「能不能少一顆?」
👉「可以只做主要那一顆嗎?」
👉「哪一顆最重要?能不能只處理那一顆?」
這些想法完全可以理解!
因為植牙牽涉到金額、恢復期和心理壓力。
但 “少植牙” 有時候不只是省不省的問題,
而是會直接影響植牙能不能穩、能不能用久。
⸻
💡1. 為什麼有些情況「不能少植」?
✔ 1️⃣ 牙齒的力量很大,植體需要「分攤力量」
後牙每次咬合的力量可達 200–400 磅,
如果本來應該要 2 顆支撐,卻只植 1 顆:
❌ 那 1 顆植體會過度受力
❌ 骨頭吸收加快
❌ 使用壽命縮短
❌ 甚至會造成植體螺絲、假牙斷裂
植牙像桌腳:
少一隻不是省,是不穩。
⸻
💡2.「少植一顆」很常導致:反而花更多錢



真實臨床很常看到:
❌ 植體裂掉
❌ 清潔不易導致齒槽骨感染而被破壞
❌ 植體拆掉重做
❌ 假牙維修、改做牙橋等額外費用
原本可以穩穩用 10 年,
少做一顆可能 3–5 年就壞了。
結果就是:
想省小錢 → 反而花大錢。
⸻
💡3. 有些情況「真的可以少植」!
不是所有人都一定要植很多顆。
下列情況可以「策略性減少植體數」:
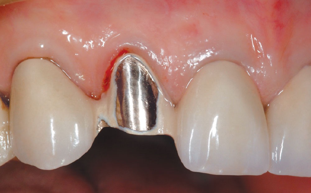
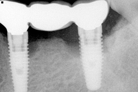
✔ 1️⃣ 利用「植牙牙橋」
例如缺 3 顆牙,不一定要 3 顆植體,
可以用 2 顆植體支撐 3 顆牙橋,安全又省,但前提是咬合力要輕、清潔要能徹底、無牙周疾病…等,始適用!(通常用於前牙)

✔ 2️⃣ 前牙區(美觀區)
前牙力量很小,有時部分植體做成植牙牙橋即可處理。前提是後牙區兩側均有穩定咬合,可輪流咀嚼!



⸻
💡4. 醫師不是要你多花錢,而是要你「少風險」
植牙不是越少越好,也不是越多越好。
是「剛剛好、最安全、最耐用」最好。
站在醫師的立場,我們希望:
✔ 你吃得安心
✔ 用得久
✔ 不反覆維修,即使有問題也是小問題可處理
✔ 不需要幾年後回來重做
如果可以安全少植,我們當然會為你規劃。
但如果會影響穩定度,就會建議你維持必要的植體數量。
⸻
📌《總結》
患者問「可以少植幾顆嗎?」完全不奇怪。
但真正重要的是:
少植牙後的長期結果會不會更好?會不會更穩?
每個人口腔條件不同,
也沒有任何治療方式是「少做就是好」。
最好的方式永遠是:
👉 經過 X 光 / 3D 斷層檢查
👉 評估骨量、咬合、牙周
👉 計算受力 & 支撐,了解發生問題時的維修方式和困難
👉 尋找「對你來說最少、但仍然安全的植體數」
(本文出自/ 胡信彰醫師 撰)
©️All copyright reserved by Dr. Hu Shin Jang