1️⃣ 光線環境不同,顏色看起來都不一樣
牙齒在自然光、診間黃光、家裡白光、餐廳昏暗光線下,呈現的亮度與色調都會不同,因此會出現:
✔ 在診間看起來剛好
✘ 回家照鏡子覺得太白、太黃、太灰

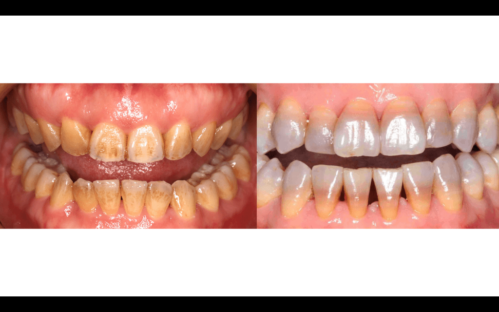
2️⃣ 天然牙齒本身就有分層色
自然牙不是單一顏色,而是:
• 牙頸部偏黃
• 中段顏色較飽和
• 切端帶一點透明藍

3️⃣ 材質不同,反光方式也不同
金屬燒附瓷、全瓷冠、全鋯冠、仿生瓷冠…材質不同,透光性也不同。
若選用不同材質與製作方式不同,即使選擇的顏色代碼是一樣,不同假牙材質佩戴上看起來均不一樣。

4️⃣ 牙齦顏色或形態影響視覺
牙齦如果有些微紅腫、黑色素沉澱,會改變牙齒視覺顏色。


5️⃣ 臨牙的情況
如果旁邊已是假牙,則後續佩戴時差異則較不大

如果旁邊均為自然牙,則單一佩戴上差異則較大

建議:仿生牙冠自然度最高,然而製作程序繁瑣,單價高,能真正有能力製作的牙技師較少,本所有長期配合的專門牙技師。
(本文出自/ 胡信彰醫師 撰)
©️All copyright reserved by Dr. Hu Shin Jang