在現代牙科補綴治療中,「全鋯冠(Full Zirconia Crown)」因為兼具 高強度、美觀、耐用,已經成為牙齒重建的熱門選擇。很多患者問:
全鋯冠真的能做到像真牙一樣自然嗎?
✔ 全鋯冠是什麼?
全鋯冠是利用 醫療級氧化鋯(Zirconia) 製作的假牙冠。
氧化鋯是一種強度極高、耐磨耗、抗裂的陶瓷材料,甚至運用在人工關節中,因此安全又耐用。

✔ 為什麼說它「接近自然齒」?
新一代高透光全鋯冠能做到:
✨ 接近天然牙的色澤
✨ 半透明、自然不死白
✨ 咬感接近真牙
✨ 密合度好、較不容易卡垢
讓全鋯冠不只耐用,也能兼具美觀。


⸻
✔ 全鋯冠的 5 大優點
1️⃣ 美觀自然
能依照原牙色階調整,不會死白或假牙感。
2️⃣ 強度超高
超耐咬,不易破裂,後牙亦適合。(但常咬硬物或缺牙過多咬力失衡仍有破裂或斷裂的可能!)
3️⃣ 不易崩瓷
不像傳統金屬瓷牙(PFM)是利用高溫將瓷燒結,全鋯冠是整顆實心設計,製作方式為瓷塊利用電腦設計並經過車床研磨而成。
4️⃣ 對牙齦友善
生物相容性高,不易導致牙齦變色或發炎。
5️⃣ 長期穩定度佳
耐磨、耐溫差,不易敏感,正常使用下使用年限長。
(何為正常使用請向醫生詢問!)
⸻
✔ 適合做全鋯冠的情況
• 大範圍蛀牙、牙齒破損
• 根管治療後需要完整保護
• 後牙修復想要耐用
• 前牙美觀修復,不希望有金屬黑邊看起來不美觀
• 想避免金屬線、避免崩瓷問題的人
⸻
❗ 哪些情況「不適合」做全鋯冠?
雖然全鋯冠材料性質很強大,但並非各種情況都適用,以下情況須特別小心或不建議:
1️⃣ 殘存牙齒太短、太小、抓不住牙冠

若牙齒結構不足,全鋯冠可能黏不牢,需要先:
• 牙冠增長術
• 打樁(post)
• 補強牙體結構
2️⃣ 前牙要求極高「透亮度」者或牙齒色澤特殊、有許多特徵時
雖然有高透光鋯冠,但某些追求「玻璃瓷般透明感」的患者,
陶瓷貼片、全瓷冠(玻昂E-max) 可能更適合。
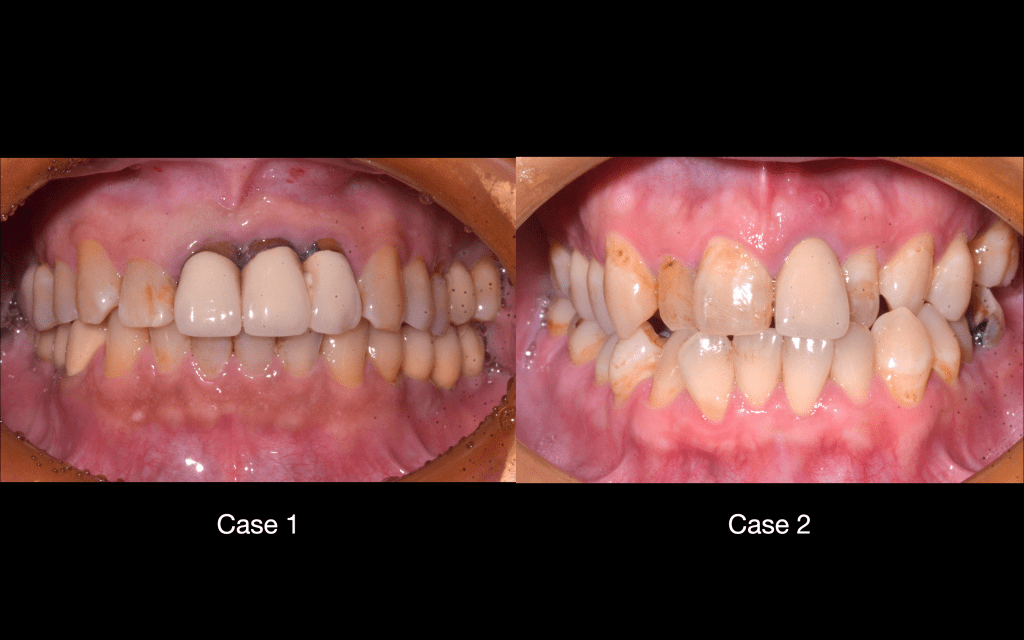
對於特徵較多時,建議以仿生牙冠(擬真牙冠)可作為接近自然之選項。

以下為非仿生牙冠進行之案例結果:

3️⃣ 牙根狀況不佳、牙周支撐不足
如果牙齒搖晃、牙周病重度,
放全鋯冠會像「在不穩的地基蓋房子」,有失敗風險。
4️⃣ 不受控制的磨牙、咬合異常
雖然全鋯冠耐咬,但若:
• 嚴重磨牙
• 下顎關節問題
• 咬合過深、咬力過強
需要先調整咬合或搭配護牙套,否則仍可能出問題。

5️⃣ 牙根已破裂或不可逆損傷
這種情況不適合製作牙冠,而是需要討論是否:
• 拔除牙根
• 改做植牙
• 或其他替代治療
5️⃣ 對咬牙與支台齒之間空間不足
這種情況不適合製作全鋯冠或全瓷冠,而是建議使用傳統金屬瓷牙(PFM),在咬合處為金屬:


這樣的建議在於避免牙冠厚度不足而斷裂
⸻
✔ 小結:想追求自然、美觀又耐用,全鋯冠是好選擇
全鋯冠兼具自然外型、極高耐用度與長期穩定性,是現代牙科常用的高品質修復方式。但是否適合,仍需根據牙根、牙周、牙體結構與咬合狀況做專業評估。
如果你想知道自己適不適合全鋯冠,讓醫師幫你評估適合你的牙齒修復方式。
(本文出自/ 胡信彰醫師 撰)
©️All copyright reserved by Dr. Hu Shin Jang