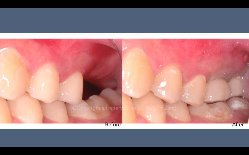
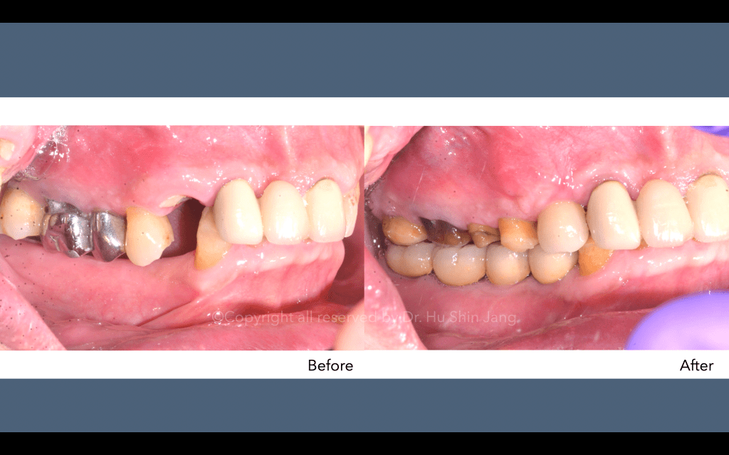
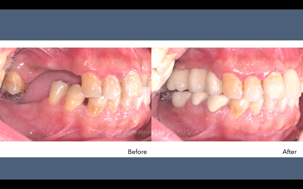
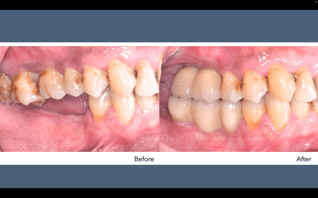
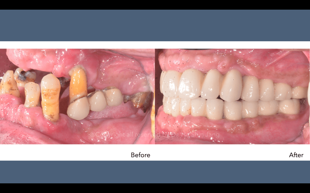
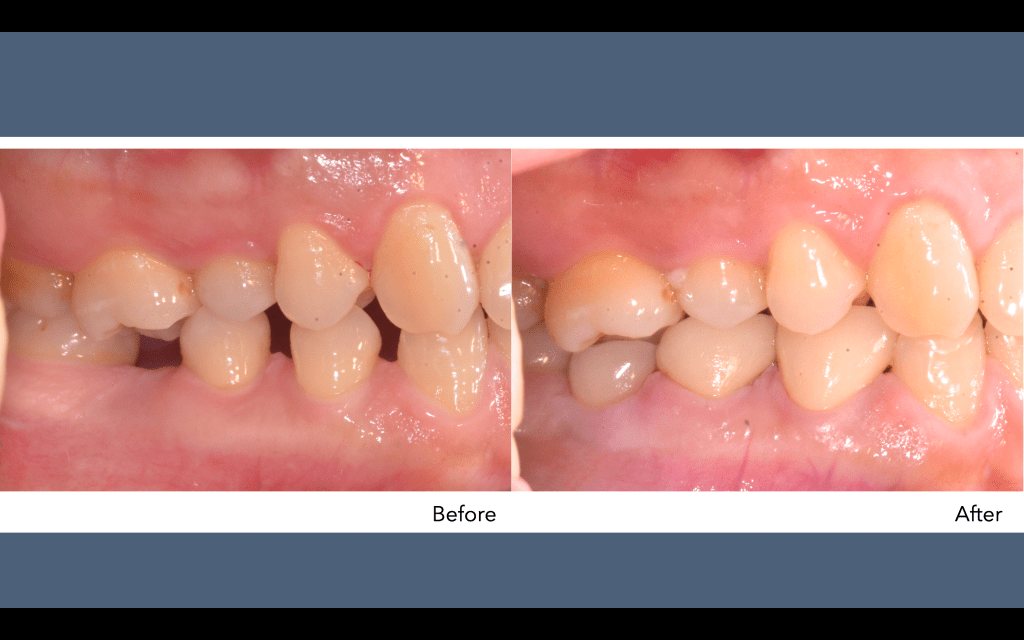
🦷✨當後牙缺牙一段時間,鄰牙會往缺牙空間「倒」、對咬牙會「伸長」,咬合平面被破壞改變後,倔時即便你想將牙齒做起來恢復咬合功能,也會遇到空間不足、角度不對、無法放置植體、植牙後容易產生鬆動、斷裂、瓷裂或是假牙無法製作等問題。



因此,恢復正常咬合平面是植牙術前非常重要的考量。以下整理 七大常見治療方式,以及每種方式的 優缺點,讓牙醫師與你討論適合的方式:
⸻
1️⃣ 輕微修磨(Minor Adjustment)
✔ 優點
• 侵入性低,保留最大牙體量
• 恢復咬合最快速
• 不需麻醉、不需額外治療
✖ 缺點
• 修整幅度有限
• 只適用於咬合偏差非常小的情況
• 無法處理嚴重咬合平面傾斜



⸻
2️⃣ 中等程度修磨(Moderate Adjustment)
✔ 優點
• 可調整較明顯的咬合干擾
• 不一定要做根管,可在牙本質範圍內改善空間,部分情況需要以假牙改變咬合型態
• 調整後可立即進行植牙規劃
✖ 缺點
• 可能會引起酸、軟、敏感
• 修磨過後若牙齒本身有裂紋或接近神經,仍可能需要後續根管
• 仍有限度,不適合嚴重移位的牙齒
⸻
3️⃣ 大範圍修磨(Deep Reduction)
👉 通常修磨量大,需搭配根管治療
✔ 優點
• 能大幅修改咬合平面
• 修整後可完整重建空間,利於植牙
• 後續可搭配假牙改變形態與保護、功能恢復正常
✖ 缺點
• 必須做根管治療,部分情況無法做假牙,有可能導致將來牙冠斷裂的風險增加


⸻
4️⃣ 根管治療後製作假牙(Crown Reconstruction)
✔ 優點
• 可精準重建咬合與美觀
• 牙冠可依需求調整高度、角度、形態
• 是處理「對咬牙伸長」常見且效果好的方式
✖ 缺點
• 需經過根管治療後再製作牙冠(減少術後敏感或牙髓壞死)
• 需修磨牙齒



⸻
5️⃣ 牙齒矯正(Orthodontics)
✔ 優點
• 保留牙齒的方式
• 理想上可將傾倒的牙齒拉直
• 理想上可改善咬合、牙齒排列
• 理想上植牙空間可能恢復到理想的位置
✖ 缺點
• 矯正時間較長(2年~8年以上)
• 成本較高
• 需要患者配合度(橡皮筋、清潔),清潔不良可能產生蛀牙或牙周病
• 不適用重度齒槽骨萎縮(嚴重牙周病)、牙根較短或牙周病未控制者
• 有可能治療期間牙齒完全不會移動,或移動量有限而必須更改其它方式,成果未必能如預期
• 牙齒牙根可能變短而搖動度增加,嚴重情況可能牙髓壞死或無法咬合而需拔除

⸻
6️⃣ 拔牙(Extraction)
👉 適用於牙齒嚴重傾倒、咬合難以恢復或牙齒本身預後不佳。
✔ 優點
• 直接移除不良位置的牙齒,重新取得空間
• 有利於後續植牙設計
• 避免未來問題牙再次引起咬合干擾
✖ 缺點
• 永久失去一顆牙
• 之後需以植牙或牙橋重建
• 拔牙後需等待骨頭癒合



⸻
7️⃣ 維持原狀(Do Nothing)
👉 以原有咬合空間做出牙齒,然而其形態通常受對咬牙影響,導致牙齒型態較扁或不規則。
✔ 優點
• 部分情況勉強可作出牙齒(金屬牙冠),保留對咬牙齒質
✖ 缺點
• 植牙牙冠若為瓷牙易斷裂,植體固定螺絲提早或頻繁鬆脫,導致植牙壽命較短而過早移除
• 咬合感覺欠佳,有可能會咬不自然,無法確實研磨食物,部分患者會抱怨食物咬不爛
• 牙縫非常容易塞食物

⸻
📝總結:越早處理,越省錢、越健康
後牙缺牙久了,牙齒一定會移動。
咬合平面一旦改變,不只植牙變得困難,連日後的咬合、磨牙、臉型都可能受到影響。
✔ 輕微問題 → 修磨、矯正
✔ 中重度問題 → 根管+假牙
✔ 嚴重咬合傾倒 → 根管治療後修磨or 拔牙
✔ 任何情況 → 不要放著不處理


依照原有已經改變咬合的狀態製作假牙,為來將因受力不平均而導致植體容易鬆脫、植體或假牙容易斷裂…等問題,造成植體壽命較短!



©️All copyright reserved by Dr. Hu Shin Jang