植牙是一種重建缺牙的方式,目的是恢復咀嚼功能與美觀。但很多患者忽略一點:植牙不只是「放一顆人工牙根」,牙齒周邊的排列與咬合狀況,直接影響植牙的成功率與長期穩定性。
1️⃣ 調整缺牙區空間
長期缺牙會造成鄰近牙齒傾斜、移位或前後牙齒旋轉。若直接植牙可能出現以下問題:
• 空間不足 → 植體位置受限,假牙可能擁擠或扭曲
• 空間過大 → 植牙假牙可能過長或過寬,影響美觀與咬合
• 不對稱間隙 → 假牙外型不自然
透過矯正,可精確打開或重新排列牙齒,使植牙區域獲得理想空間,無論是增加或縮小空間,都能確保植體位置正確、假牙比例自然。
2️⃣ 改善咬合力分布
咬合不正是植牙失敗的常見隱性原因。牙齒排列不整或前後咬合異常,會造成:
• 植牙承受不均勻咬合力 → 長期易鬆動或骨質吸收
• 咀嚼效率下降 → 周圍牙齒受力增加
矯正牙齒可調整咬合關係,使上下牙齒的受力分布均勻,降低植牙壓力,提高植牙穩定性。
3️⃣ 提升美觀與牙齒對稱性
尤其是前牙區域,缺牙或牙齒排列不整會影響笑容線、唇型及牙齒比例。
• 矯正牙齒可改善微笑弧線
• 調整牙齒傾斜角度及空間 → 假牙與天然牙齒比例協調
• 空間分配適當,避免假牙過大或過小,提升美觀效果
4️⃣ 治療前必須與病人充分溝通
植牙一旦完成,其位置就固定下來。若之後再想矯正牙齒:
• 植牙無法隨牙齒移動 → 矯正範圍受限
• 可能造成矯正效果不理想或需要改變植牙設計
因此,在植牙前,醫師必須先詢問病人是否希望進行矯正,並評估矯正是否有助於改善咬合與美觀,才能制定完整治療計畫。
5️⃣ 專業建議
• 個別化治療規劃:並非每位缺牙患者都需要矯正,通常適用於牙齒移位、咬合不正、前牙美觀要求高者,或缺牙區空間過大/過小者。
• 長期穩定性:矯正後植牙區牙齒排列穩定,能延長植牙壽命,降低併發症風險。
💡 結論
植牙前的矯正,就像建房子先打好地基。地基穩固、空間合理、位置精準,建起來的房子才能安全、美觀、耐用;牙齒排列整齊、空間分配適當,植牙結果才自然、穩定。
更重要的是,治療前與病人充分溝通,決定是否矯正,才能確保後續治療不受限制。
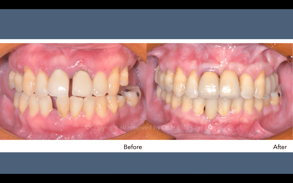
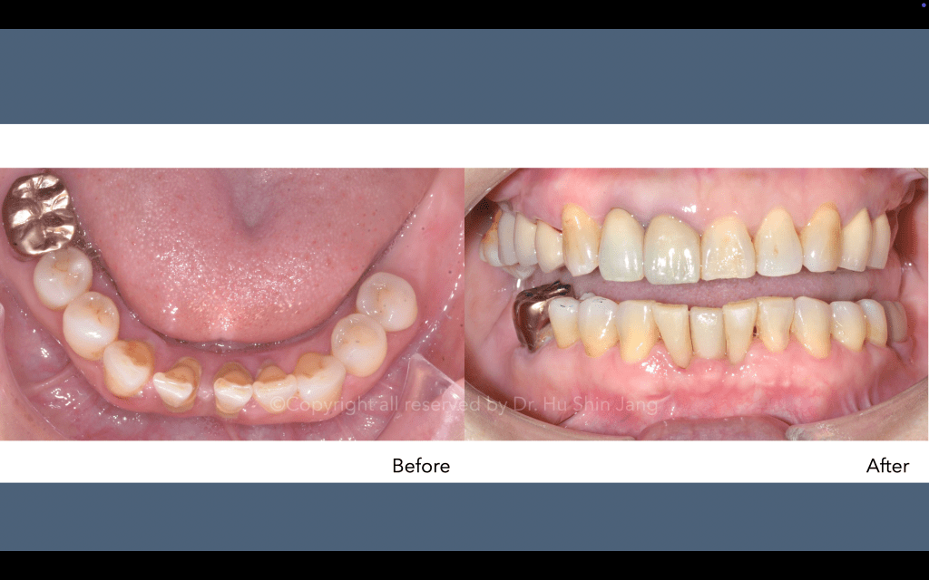
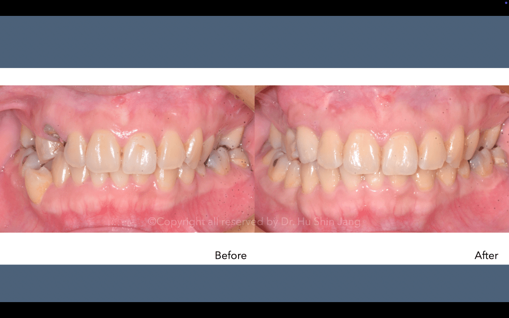
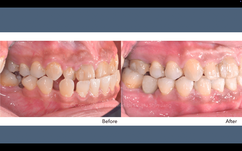
以下提供本人曾經手治療案例,作為治療前之參考與理解:






(本文出自/ 胡信彰醫師 撰)
©️All copyright reserved by Dr. Hu Shin Jang