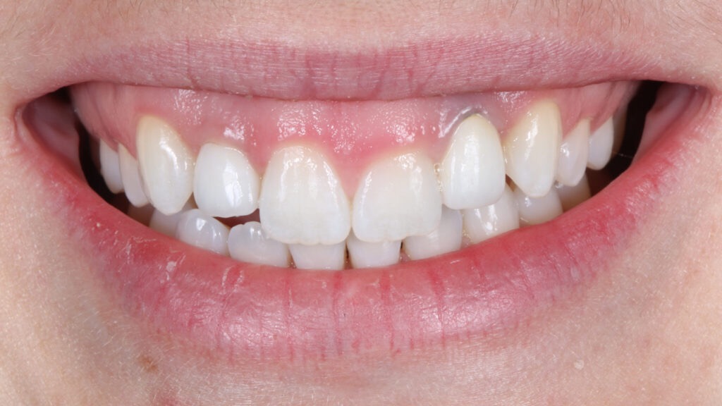
很多患者在植牙後會發現,自己的新牙「看起來跟自然牙不完全一樣」,甚至覺得有點人工感。
這是正常現象,也不是治療失敗,背後其實有幾個專業原因。
⸻
🔹 1️⃣ 骨頭與牙齦的差異
• 自然牙根長在牙槽骨裡,牙齦會自然包覆,牙齒高度與形態隨牙齦線而變化。
• 植牙只能模擬牙根位置,若骨頭或牙齦有流失,牙齦厚度不足,牙冠就可能比周圍牙齒「看起來高或厚」。
也就是說,牙齒外觀不完全自然,多半是因為支撐牙齦的骨頭不足。




⸻
🔹 2️⃣ 植牙沒有牙根的彈性
• 自然牙齒由牙根、牙周膜支撐,咬合時有微小彈性。
• 植牙直接固定在骨頭上,缺少牙周膜彈性,外觀與咬合感都會稍微不同。
這也是為什麼植牙的牙齒摸起來和咬起來跟自然牙略有不同。

⸻
🔹 3️⃣ 假牙形狀需依條件調整
• 植牙牙冠要和周圍牙齒、咬合、牙齦高度配合。
• 若骨頭或牙齦不足,醫師可能需要 稍微調整牙冠形狀,避免牙齦受壓或咬合不正。
這會讓植牙牙齒的形態和自然牙略有差異,但能確保長期穩定與健康。

⸻
🔹 4️⃣ 美學材料限制
• 假牙材質(全鋯冠、陶瓷冠等)雖然可以模擬牙齒顏色和透光度,但與天然牙相比,仍有微小差異。
• 尤其前牙區,要兼顧強度與顏色,有時候必須做折衷。

⸻
💡 小提醒
• 植牙牙齒不完全像自然牙,是正常現象,不代表失敗。
• 牙齦健康、骨頭條件良好、醫師精細設計,牙齒外觀就會非常自然。
• 若追求極致美觀,可搭配 牙齦補骨、牙齦移植或仿生牙冠設計,效果會更接近天然牙。
⸻
✅ 結語
植牙的牙齒雖然與自然牙有些差異,但它穩定、耐用、健康,是缺牙可靠的長期方案。
了解原因後,你就會知道:人工牙不是缺陷,而是專業設計的選擇。
(本文出自/ 胡信彰醫師 撰)
©️All copyright reserved by Dr. Hu Shin Jang