許多人以為植牙完成、假牙裝上去之後就萬事 OK。
但其實植牙就像「天然牙齒的替身」,仍然需要長期照顧、定期維護、正確使用少咬硬食。
如果清潔或習慣沒有做好,還是可能出現一些常見的問題。
以下幫你整理臨床上最常遇到的狀況,協助大家提早預防👇
⸻
⚠️ 一、植牙假牙的常見日後問題
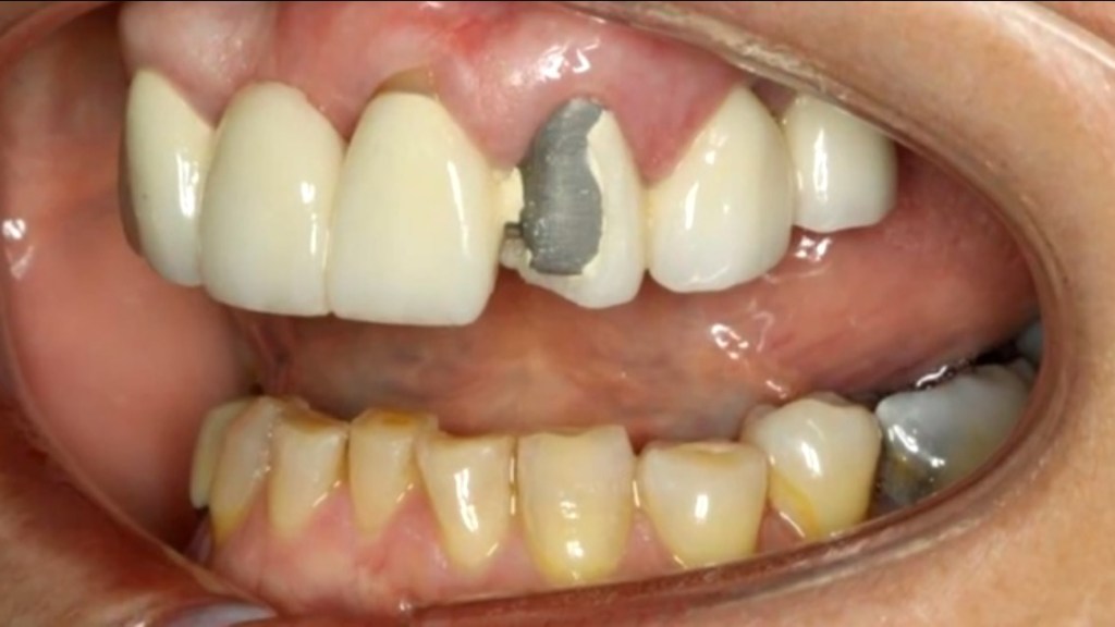
1️⃣ 牙齦發炎、牙周感染(最常見)
即使是假牙,牙齦周圍一樣會堆積牙菌斑。
清潔沒做好,很容易變:
• 牙齦紅腫
• 刷牙會流血
• 植牙周圍有異味
嚴重時可能造成「植體周圍炎」,讓骨頭被破壞,需要治療甚至重做。

⸻
2️⃣ 植牙假牙螺絲鬆動
幾乎每位植牙患者一生中都有可能遇到一次。
常見原因:
• 咬太硬的食物
• 夜間磨牙
• 咬合力量分布不平均
• 假牙使用年限久
通常只要回診更換新零件重新鎖緊、調整即可,不用太緊張。(一旦發現假牙鬆動就要立即停止使用盡速回診。)


⸻
3️⃣ 假牙破裂、崩角(全瓷牙也可能)
植牙假牙雖然堅固,但並非不會破。
常見原因:
• 咬到骨頭、冰塊、硬果仁
• 夜磨牙
• 假牙咬合位置受力不平均


若破損較小可修補;破損嚴重時可能需要重做。
⸻
4️⃣ 咬合變化、咬不準
口腔是會慢慢改變的:
• 對側牙齒長期沒力氣會往上長(伸長)
• 鄰牙可能會慢慢歪斜
• 磨牙習慣會改變咬合面
時間久了可能導致植牙假牙受力不均,產生疼痛或再度鬆動,需要調整咬合。

⸻
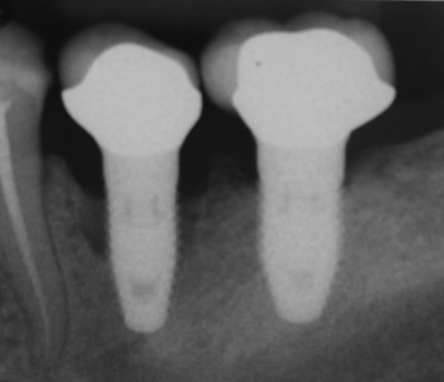
5️⃣ 植體周圍炎(需要特別注意)
這就是「植牙的牙周病」。
常見症狀:
• 口腔異味
• 植牙牙齦腫、流膿
• 咬起來緊緊的、怪怪的
• X 光看到骨頭變少
越早發現越好,避免骨頭持續流失。


⸻
6️⃣ 植體鬆動(少見但最嚴重)
若植體本身與骨頭結合後受到過度咬力或感染,可能導致植體本體鬆動、斷裂。
這種情況通常需要重新評估、感染控制、甚至重新植牙。





⸻
🛡️ 二、如何預防這些日後問題?
✔ 每天確實清潔(牙線、牙間刷)
✔ 半年回診一次檢查與洗牙
✔ 避免硬物、冰塊、骨頭類食物、花生、堅果、檳榔
✔ 有夜磨牙者務必配戴咬合板
✔ 發現流血、腫痛、搖動要及早處理
⸻
📌 三、什麼時候一定要回診?
🔺 假牙明顯鬆了
🔺 刷牙流血超過一週
🔺 咬合變得怪怪的、不平均
🔺 牙齦腫、熱痛或有異味
🔺 植牙感覺在動
早處理比晚處理更省錢、更省時間、更不痛!
⸻
❤️ 植牙成功,不只靠手術
真正讓植牙用得久、用得舒服的是「長期的維護」。
若你已經做了植牙,也別忘了定期追蹤,
讓你的植牙像天然牙一樣好用、耐用、又安心。
(本文出自/ 胡信彰醫師 撰)
©️All copyright reserved by Dr. Hu Shin Jang