——廣告沒告訴你的關鍵真相
這幾年,「All-on-X / All-on-4」在網路與社群平台上大量曝光,
標榜**「一次完成、快速有牙、固定不動、不用補骨」**,
看起來像是一個完美的解決方案。
但實際上,All-on-X 並不是「沒有代價」的治療方式。
在做出重大決定之前,有幾個關鍵事實,病人一定要先知道。
⸻
一、All-on-X 幾乎等於「全口拔牙」
這不是小事,而是巨大的心理衝擊
多數 All-on-X 的治療流程,
第一步就是:拔掉所有剩餘的自然牙,
不論這些牙齒還能不能用。
對病人來說,這不只是手術問題,而是:
• 「我真的要一口氣失去所有牙齒嗎?」
• 「如果後悔了,還能回頭嗎?」
答案是:幾乎不能回頭。
這是不可逆的選擇,卻常常在廣告中被輕描淡寫帶過。

⸻
二、為了放植體,「好的骨頭會被大量修磨」
All-on-X 為了讓少數植體承受整排牙齒的力量,
常需要將原本立體、有厚度的齒槽骨做大幅度修磨塑形,
只留下底部骨頭作為支撐。
這代表什麼?
• ✅ 當下可以放植體
• ❌ 但未來如果植體失敗、感染、斷裂
• ❌ 可用來重建的骨頭,可能已所剩無幾

一旦失敗,很多病人後續只剩下兩條路:
1️⃣ 高風險、大範圍補骨重建
2️⃣ 被迫改做活動假牙,咀嚼相當困難!
這些風險,往往只在事後才被提起。
⸻
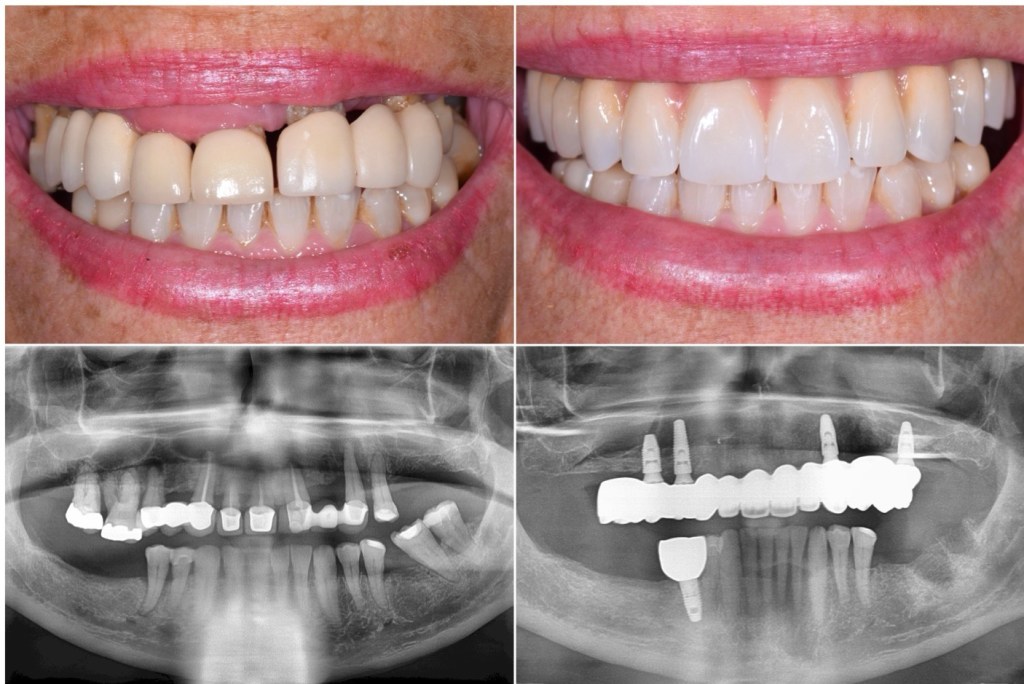
三、廣告只給你看「口外照」,卻不給你看「口內真相」
你在廣告中看到的術後照,幾乎都是:(以下照片取得:網路)



✅ 微笑
✅ 嘴唇閉合
✅ 看起來一整排白牙
但實際上,臨床上常見的口內問題包括:
• 🔸 金屬結構外露
• 🔸 牙縫過大、不自然
• 🔸 假牙形態厚重,一旦斷裂維修困難,幾乎需整組重換
• 🔸 食物卡縫、清潔困難
• 🔸 長期發炎與異味困擾



這些畫面,很少出現在廣告裡。
等到病人真的翻開嘴巴看到,往往已經來不及退換。
⸻
四、All-on-X 不是不好,而是「不適合所有人」
必須強調一點:
👉 All-on-X 不是錯誤的治療
👉 但它是有嚴格適應症的療法
適合的是:
• 嚴重牙周病、牙齒完全無法保留
• 傳統植牙重建不可行的病人
• 已完整理解風險、不可逆性的人

不該被當成:
「最快、最便宜、最省事」的萬用解法。
⸻
五、做之前,病人至少該被好好告知這些事
在你點頭同意之前,請務必問清楚:
• ✔ 真的所有牙齒都沒有保留價值了嗎?
• ✔ 有沒有分段治療、保留牙齒的替代方案?
• ✔ 如果失敗,下一步是什麼?
• ✔ 可以給我看「口內照」與長期追蹤案例嗎?
選擇療法之前,先選擇誠實與完整的資訊。
⸻
📌 醫療不怕難,只怕被簡化成廣告
All-on-X 是一條「沒有回頭路」的治療設計。
懂得越多,後悔就越少。
如果你或家人正在考慮全口重建,
請務必找願意把「缺點也說清楚」的醫師,
而不只是把成果照給你看的診所。
在京品牙科,我們期待提供良好品質與長遠性的口腔重建計劃






(本文出自/ 胡信彰醫師 撰)
©️All copyright reserved by Dr. Hu Shin Jang