⭐門牙植牙到底能用多久?真的能用一輩子嗎?
很多人在了解門牙植牙時,最常問的一句話就是:
「醫師,我做了門牙植牙,到底可以用多久?」
其實,只要條件合適、保養得當,門牙植牙的壽命非常長,以下幫你一次說清楚👇
⸻
🔹✔️門牙植牙的平均使用年限
根據國際大型研究統計:
• 10 年存活率約 95% 以上
• 15~20 年存活率仍高達 90% 左右
也就是說,大多數人的門牙植牙都能使用 10~20 年以上,甚至有許多患者用了超過 30 年仍然正常。
👉 簡單說:植牙成功後,它本身並沒有固定「到期日」!
⸻
🔹✔️為什麼門牙植牙通常能用這麼久?
門牙位置雖承受的力量比後牙小,但對美觀度要求高,因此材料及手術精準度都更嚴謹。
植體本身是純鈦材質,可和骨頭穩定結合,只要條件良好,就能長期使用。
⸻
🔹門牙植牙能否「一輩子」?這 3 點最關鍵
① 醫師技術與植體位置
門牙區骨量較薄、角度要求精準,一點點偏差都會影響美觀與穩定度。
② 患者口腔狀況
• 是否有牙周病
• 是否有抽菸習慣
• 咬合習慣是否異常
這些都會影響植牙壽命。(請聽從醫師囑咐並配合)
③ 術後照護與清潔
門牙區易堆積牙菌斑,
勤刷牙、使用牙線、定期回診追蹤=增加植牙使用年限的關鍵。
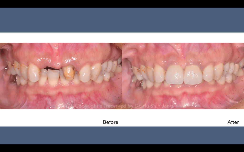
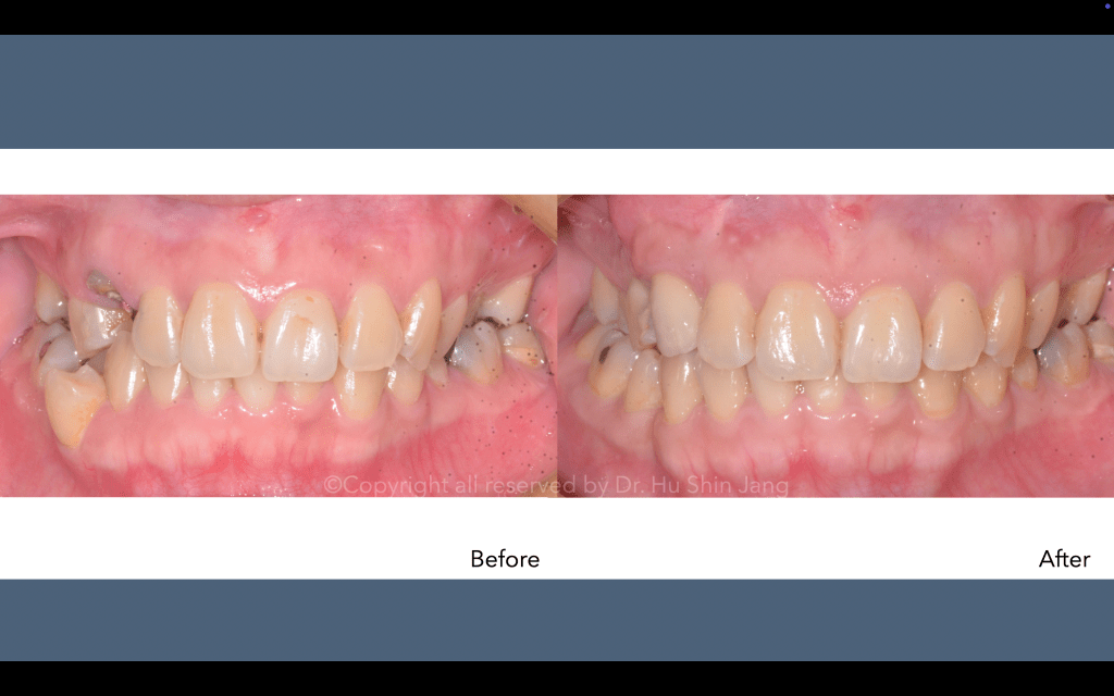
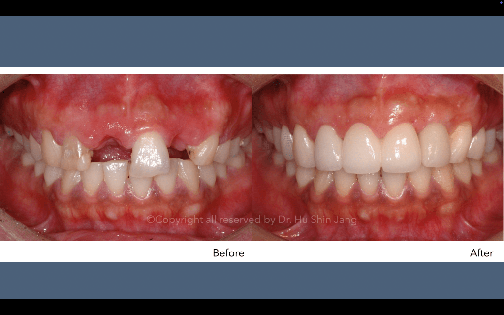
🔹⭐結論:門牙植牙是耐用、美觀的修復方式
只要挑選合適的醫師與材料,並且定期半年回診檢查,
門牙植牙通常能使用 10~20 年以上,甚至可陪你走一輩子。
如果你正在考慮門牙植牙,可至門診由胡醫師替你分析你的口腔狀況是否適合植牙!🦷✨



©️All copyright reserved by Dr. Hu Shin Jang