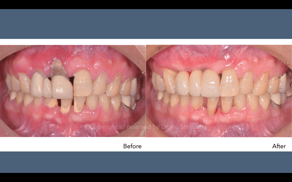
🦷門牙有牙周病,也能做人工植牙嗎?
很多患者在門牙牙周病嚴重、牙齒開始搖動甚至無法保留時,都會擔心:
「我這樣還能植牙嗎?」
好消息是 👉 大多數牙周病患者仍然可以植牙,但需要先把發炎控制好!(少部分是不建議!)
⸻
🔍為什麼牙周病要先治療後植牙?
牙周病會造成齒槽骨破壞,如果在發炎沒有控制好的情況下直接植牙,植體會面臨同樣的感染風險,甚至可能失敗,不可不慎!
所以專業流程一定是:
1️⃣ 牙周狀況評估(X光 / 牙周量測)
2️⃣ 進行牙周治療安排,清除細菌與發炎
3️⃣ 確認骨頭條件後再安排適當植牙時機與方式
4️⃣ 若骨頭不足 → 重建齒槽骨/牙齦移植後 再進行人工植牙
只要牙周病穩定控制,植牙成功率依然非常高!
⸻
🌟門牙植牙的好處
✔ 咬合穩定,吃東西更安心
✔ 不需要磨兩邊的健康牙(不像牙橋)
✔ 可長期使用,維護良好能 10–20年以上
⸻
⚠ 哪些情況門牙牙周病會不建議立即植牙?
🚫 還有明顯牙周發炎、牙齦流血
🚫 骨頭破壞太嚴重,需要先補骨
🚫 沒有做好口腔清潔,容易再度感染
但這些情況多半 不是不能植牙,而是要先治療再植牙。
⸻
👨⚕️給門牙牙周病患者的建議
👉 若門牙已經搖動,越拖骨頭流失越多
👉 越早治療,越能保留更多骨頭,植牙過程越不複雜也越穩定
📩 想知道自己的牙周狀況適不適合植牙?
於門診安排檢查,方能提供完整評估、治療建議與費用說明



©️All copyright reserved by Dr. Hu Shin Jang