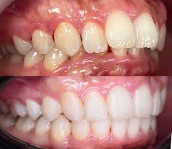
許多人以為「深咬」只是牙齒外觀不好看,但其實——
深咬不只會讓下巴關節受力異常,還會讓假牙、植牙、牙齒因受力異常而更容易咬壞。
如果剛好又遇到 上顎前牙缺牙,在治療術前就更需要仔細規劃。
今天帶大家用最簡單的方式了解:
⸻
🔍 什麼是前牙深咬?為什麼會是問題?


「深咬」指的是咬合時上門牙過度覆蓋住下門牙,可能造成:
• 下門牙咬到上顎牙齦
• 前牙區壓力異常 → 假牙、植牙容易鬆動或破裂、斷裂
• 咬合不穩定 → 長期造成顳顎關節不舒服
• 下巴外觀變短,看起來年紀較大

⸻
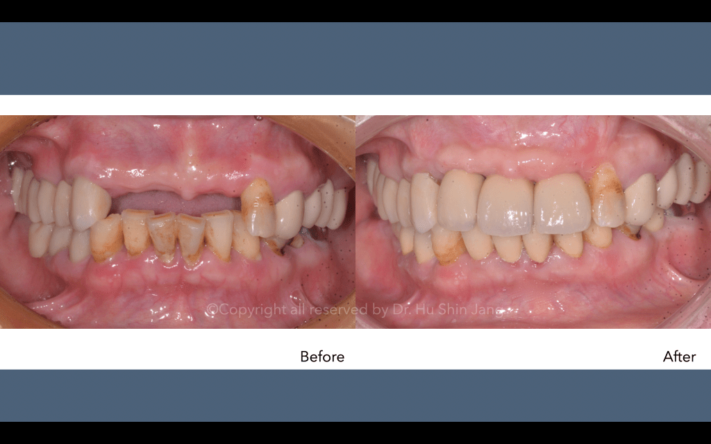
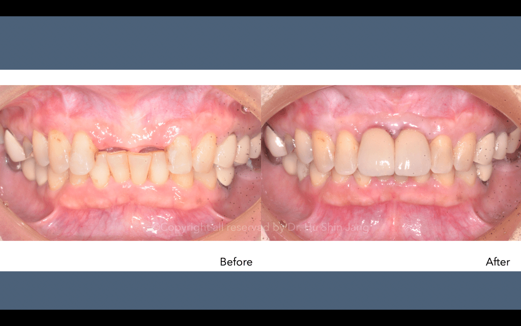
🦷 上顎前牙缺牙 + 深咬=治療難度變高
因為缺牙區沒有支撐,在深咬狀況下:
• 植牙空間會被下排牙齒「咬住(佔住)」
• 假牙容易被咬斷(受力過大、假牙厚度不足)
• 咬合高度不足 → 無法放置理想形態的植牙牙冠(牙齒會變暴牙、較為前凸變兔寶寶)
• 甚至可能讓植體承受過大力量而失敗
所以治療的第一步通常是:
👉 先把空間「打開」
👉 讓咬合恢復到能容納前牙假牙或植牙的高度
⸻
⭐ 治療方式與優缺點比較
① 牙齒矯正
透過矯正把下排牙齒往下移、上排牙齒往上移,或重新調整咬合位置。

優點:
✔ 打開咬合空間,植牙/假牙壽命更長
✔ 調整牙弓與角度,看起來更自然
✔ 減少前牙壓力,改善關節負擔
✔ 最符合生物力學、最穩定的方式
缺點:
✘ 需要時間(數年)
✘ 大部分患者可能需搭配矯正骨釘進行提昇防
✘ 成本較高、難度高、牙周病患不適用

⸻
② 改變健康牙齒形態:咬合調整 / 微量修磨
磨除些微牙齒高度,製造植牙或假牙的空間。
優點:
✔ 快速見效
✔ 初期費用較低
✔ 適合輕微深咬或短期過渡使用
缺點:
✘ 可能造成敏感
✘ 需要磨掉自己的牙齒結構
✘ 空間有限,通常只能當輔助處理
⸻
③ 製作前牙假牙或全口重建(復形方式)
利用全瓷冠、牙橋或全口咬合重建(必要時合併牙冠增長術)來改善咬合高度。
優點:
✔ 能同時處理牙齒磨耗、牙齒缺損
✔ 可直接調整咬合高度
✔ 外觀改善明顯
缺點:
✘ 比較適合「大量磨耗」或「多顆重建」的患者
✘ 健康牙齒可能需要磨除
✘ 設計不佳仍會失敗
✘ 未處理深咬根本問題的話,假牙壽命受限

⸻
④ 植牙前「進行咬合重建」
在深咬患者中,植牙不建議單獨進行,而應同時合併調整咬合空間。
優點:
✔ 植體位置更正確
✔ 假牙形態自然、位置穩定
✔ 可避免植體被咬力破壞
缺點:
✘ 療程時間比較長
✘ 需要醫師完整的咬合規劃

⸻
📌 深咬 + 上排前牙缺牙,為什麼不建議單獨植牙或做假牙?
如果「空間不夠」,直接單獨植牙或佩戴假牙就會面臨:
🚫 假牙做得太短太薄(容易斷裂)、太厚卻又不美觀
🚫 下排牙齒把新植牙/假牙直接咬壞
🚫 植體承受過大力量 → 早期鬆動、失敗
🚫 笑起來牙齦不對稱、美觀差、假牙太前凸(暴牙)
所以,多數情況下一定要:
👉 同時配合調整咬合,再做植牙或假牙
這樣整體穩定度、成功率、美觀度才會最好。


⸻
🧑⚕️【總結:前牙深咬不是小問題,尤其缺牙時更要治根本】
✔ 深咬會讓前牙區各種治療的風險大幅增加
✔ 上顎前牙缺牙時,務必先評估「空間是否足夠」
✔ 最穩定的方式通常是 矯正 + 咬合空間重建
✔ 若直接植牙或假牙,往往容易往後產生:斷裂、鬆脫、失敗
⸻
如果你或家人有前牙缺牙、深咬、或打算做植牙的需求,
一定要先讓專業牙醫師完整評估咬合,
才能確保治療美觀、耐用、穩定!
(本文出自/ 胡信彰醫師 撰)
©️All copyright reserved by Dr. Hu Shin Jang