前一陣子,在臉書上看到有個女生抱怨著植牙治療,如下


身爲專業的牙醫師,一看就知道問題所在,但我不能說原因,因為沒有人會希望捲入糾紛,我也不例外。只能說找到對的牙醫師幫助你,就像抽籤一樣,憑運氣!看到這個女生只能說妳真可憐……
然而,有一些些幫助可以讓你參考,如何才是對的牙醫師?
長得帥?長得美?常上電視廣播?
台大?
博士?哈弗?留美?
以上皆非,最好的方式就是問親朋好友中是否有牙醫師,請他推薦誰是專家,通常你沒有跟人家結仇,應該都會得到不錯的建議人選。
萬一,沒有親戚是牙醫師,那麼找一家大間的牙科診所應該沒錯吧?
這個答案…可能是,也可能不是…….
我知道的植牙專家,通常都是小小一間自成一格,喜歡一個人的武林。在台北,我認識像黃怡豪、林靜毅、林保瑩……都是在植牙領域中不可一世、德術兼備的好醫師,人好技術又高超。在新竹,朱育正牙醫師『沒有顯著學經歷』,但做工細膩到揚明國際!非常厲害,我不認識他,但看過他的治療案例都知道,厲害的牙醫師未必會去念碩士。有一些開課給牙醫師教育的前輩或後進,能力有時候我是不方便當下或私下吐槽,嘴巴太賤有時候會讓人不舒服,這方面我倒是改進不少。至於網紅牙醫、youtuber牙醫,恩…no command!
陋室銘曰:『山不在高,有龍則靈….斯是陋室,為吾德馨』。只要你處處為患者著想,不要『不會做又要硬做』,適時轉診視病猶親,應該會有福報。
通常,對自我有要求的牙醫師,多半都會有治療個案的術前術後照片,如同本人網站中所及,希望看看自己是否創造了不可思議,以期待獲得工作上的成就感,自然美麗猶如新生般的植牙成果就是對自己的期許。
治療前,你也可以問問看你的牙醫師是否可以提供有類似於你的治療個案成果,如果你也認同他的治療結果,你就會有比較大的機會獲得類似的治療效果。
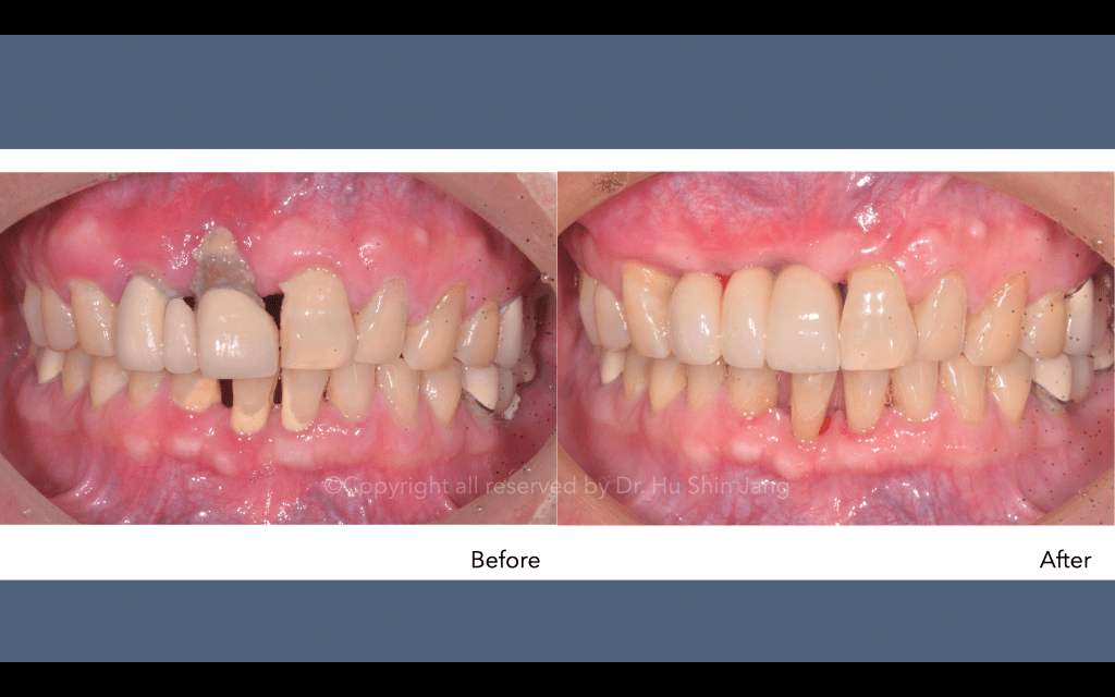
厲害的牙醫師可以讓50分的笑容變到8o分、90分以上,誠如以下我經手治療過的植牙案例所示:


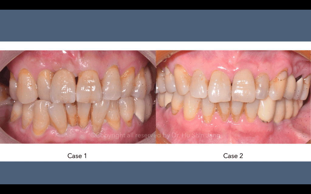
但….程度比較不高的植牙醫師,可能會導致如下(網路截取圖):

這樣的植牙術前考量、植牙術中的執行與隨時修正、植牙印製模型的方式、配合的牙技師(所),均與植牙最終成功有絕對關聯。
植體廠牌? 沒有關聯
藍光導航? 沒有關聯
舒眠植牙? 沒有關聯
植牙價格? 沒有關聯
植牙要好看在於『植牙醫師在術前就已預知假牙最終形態是什麼』
這恐怕與『牙醫師專業知識及經驗』『牙醫師手術能力』『牙技師假牙瓷造能力』有絕對關聯。
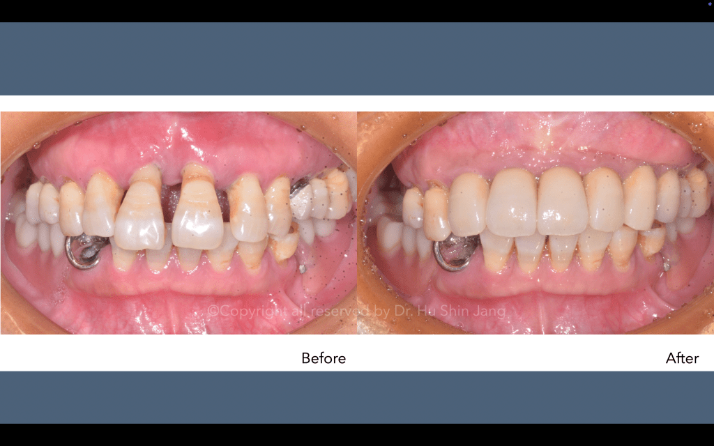
如同以下本人經手植牙治療過的案例所示,自然且難以區分出有植牙痕跡,追求和諧與自然的植牙治療結果:

植牙品牌不能單就看『廠牌』或『產地』,真正要看兩種:『植體硬度』與『植體表面處理』。
當今人工植體幾乎都是鈦合金,然而鈦合金材料在硬度上,是有區分的,這大概一般牙醫師也不會深究,想當然只要危言聳聽…傳播越貴越有保障……然而,是真的這樣嗎?我不想明指某些廠商或牙醫師,因為這和很多人的利益有關聯……
此外,當今植體表面設計均以『SLA』表面處理為各式表面處理設計比較中,研究指出為最佳的處理方式,Straumann廠牌是SLActive,nobel biocare廠牌是TIUnite,說穿了也是SLA處理,只不過就是加了些不同的方式就有了獨特的專利名稱,簡單來說,植體植入都得等3-6個月,不管你是用什麼植體系統、什麼樣的表面處理。
植體廠牌許多從醫學中心出來的牙醫師,都堅持使用『Straumann』『Nobel biocare』,認為這個牌子有非常悠久的歷史,有許多證據研究指出他們的長期研究穩定性很好,具有證據力。我也曾是『Straumann』『Nobelbiocare』的忠誠愛用者,我也相信這個論調,直到我被迫改用其他品牌,像是Lifecore、Taiwan star、anthogyr、Xive、BBC以及目前所使用的CORTEX,我被迫改變我的植牙信仰但也從中獲得許多教學醫院裡不會教的事情,那就是每個系統植體的特性均不一樣,同時我也可以感受到某些植體系統有些醫師會批評說難用,在我不斷使用習慣上手後才得知這些植體廠牌真的是超強,但能力不強的牙醫師真的駕馭不了。
在過去最具代表短植體系統Bicon也曾經被無數的植牙專家批評,植體長度標準是不可以短於8mm,而Bicon系統這種被稱作小公司的植體廠商卻主打著短植體6mm,在20多年過後所謂的國際大廠也跟上這樣的『短植體』設計。
過去植體型態主流『tapered effect』也被稱作是小公司的植體廠商Alphabiocare所使用植體型態的『自攻式螺紋』,強調根尖處primary stability強化的能力,國際大廠也開始全部跟這些小廠看齊,新一代的植牙設計也朝此方向。
這些不在醫學中心所使用的廠牌,卻引導了20年後植牙整體設計,強調醫學中心沒有使用的植體廠牌就是不好,應該留點口德…
牙醫師如果有品牌迷思,或是灌輸貴就是好,便宜就是不好的觀念給患者。我沒有意見。
我只是覺得好的牙醫師應該苦民所苦,一顆植牙要8萬,那如果缺少很多顆牙的人,你要看著他們受苦受難嗎?錢很難賺,牙醫師已經是高端份子,試著多替他人設身處地著想,而不是想著買豪宅名牌、開連鎖……找到好的植體卻又不貴,那是看牙醫師本人自己要不要去做。植體品牌醫學中心沒有用就是爛,以後植牙廠商就會倒閉….危言聳聽來提升自己高價的地位,我也沒意見,病患同意即可。
好的牙醫師很多,多我一個不多,少我一個不少,希望每個人看牙都能遇到貴人,而不是遇到要你花很貴的錢治療的人。
牙醫師 胡信彰